Displasia di Greenberg OMIM 215140

Displasia di Greenberg    OMIM 215140

E' una displasia scheletrica rara caratterizzata da arti corti, idrope fetale. E' trasmessa con carattere autosomico recessivo ed รจ legata ad alterazione del gene LBR. 
I segni principali sono la micromelia marcata, l'idrope fetale e ossificazioni ectopiche. 
E' letale in utero.
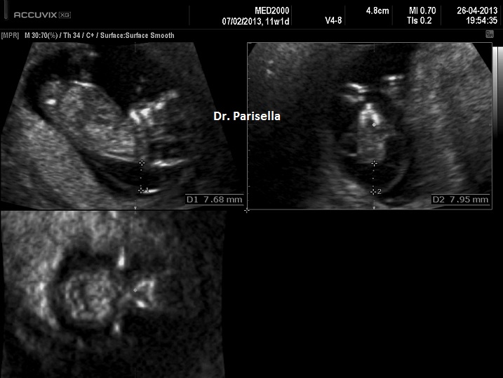
La diagnosi ecografica prenatale si basa sulla presenza di:
  1. micromelia severa 
  2. idrope fetale 
  3. polidramnios 
  4. igroma cistico.

Bibliografia
 Chitayat, D., Gruber, H., Mullen, B. J., Pauzner, D., Costa, T., Lachman, R., Rimoin, D. L. Hydrops-ectopic calcification-moth-eaten skeletal dysplasia (Greenberg dysplasia): prenatal diagnosis and further delineation of a rare genetic disorder. Am. J. Med. Genet. 47: 272-277, 1993.
Clayton, P., Fischer, B., Mann, A., Mansour, S., Rossier, E., Veen, M., Lang, C., Baasanjav, S., Kieslich, M., Brossuleit, K., Gravemann, S., Schnipper, N., and 9 others. Mutations causing Greenberg dysplasia but not Pelger anomaly uncouple enzymatic from structural functions of a nuclear membrane protein. Nucleus 1: 354-366, 2010.
Greenberg, C. R., Rimoin, D. L., Gruber, H. E., DeSa, D. J. B., Reed, M., Lachman, R. S. A new autosomal recessive lethal chondrodystrophy with congenital hydrops. Am. J. Med. Genet. 29: 623-632, 1988.
Herman, G. E. Disorders of cholesterol biosynthesis: prototypic metabolic malformation syndromes. Hum. Molec. Genet. 12(R1): R75-R88, 2003.
Horn, L.-C., Faber, R., Meiner, A., Piskazeck, U., Spranger, J. Greenberg dysplasia: first reported case with additional non-skeletal malformations and without consanguinity. Prenatal Diag. 20: 1008-1011, 2000. Note: Erratum: Prenat. Diag. 21: 425 only, 2001.
Konstantinidou, A., Karadimas, C., Waterham, H. R., Superti-Furga, A., Kaminopetros, P., Grigoriadou, M., Kokotas, H., Agrogiannis, G., Giannoulia-Karantana, A., Patsouris, E., Petersen, M. B. Pathologic, radiographic and molecular findings in three fetuses diagnosed with HEM/Greenberg skeletal dysplasia. Prenatal Diag. 28: 309-312, 2008.
Oosterwijk, J. C., Mansour, S., van Noort, G., Waterham, H. R., Hall, C. M., Hennekam, R. C. M. Congenital abnormalities reported in Pelger-Huet homozygosity as compared to Greenberg/HEM dysplasia: highly variable expression of allelic phenotypes. J. Med. Genet. 40: 937-941, 2003.
Wassif, C. A., Brownson, K. E., Sterner, A. L., Forlino, A., Zerfas, P. M., Wilson, W. K., Starost, M. F., Porter, F. D. HEM dysplasia and ichthyosis are likely laminopathies and not due to 3-beta-hydroxysterol delta-14-reductase deficiency. Hum. Molec. Genet. 16: 1176-1187, 2007.
Waterham, H. R., Koster, J., Mooyer, P., van Noort, G., Kelley, R. I., Wilcox, W. R., Wanders, R. J. A., Hennekam, R. C. M., Oosterwijk, J. C. Autosomal recessive HEM/Greenberg skeletal dysplasia is caused by 3-beta-hydroxysterol delta(14)-reductase deficiency due to mutations in the lamin B receptor gene. Am. J. Hum. Genet. 72: 1013-1017, 2003.