Liquido Amniotico Oligoidramnios Polidramnios
Il liquido amniotico contenuto nella cavità amniotica è l'ambiente liquido che circonda il feto composto principalmente (98-99%) da acqua (Modena AB,2004), bilirubina, creatinina, proteine, aminoacidi, urea, acido urico, lipidi, ormoni, sali minerali. Esso fornisce un ambiente favorevole allo sviluppo fetale, protegge il feto da traumi e infezioni attraverso le sue proprietà protettive e batteriostatiche. Permette i movimenti fetali favorendo lo sviluppo del sistema muscolo-scheletrico fetale. Previene la compressione del cordone ombelicale e della placenta permettendo una ottimale vascolarizzazione e apporto nutrizionale (Beall MH, 2007).
Fisiopatologia del Liquido Amniotico
Il volume di liquido amniotico (AFV, Amniotic Fluid Volume) viene mantenuto costante in rapporto all'epoca di gravidanza attraverso complessi meccanismi di produzione (urina e liquido polmonare) e riassorbimento (deglutizione e flusso intramembranoso)(Modena AB,2004; Brace RA et al., 2014). La dinamica del LA è rappresentata come un sistema a tre compartimenti: materno, fetale e placentare. Inizialmente e fino alla 22a settimana di gestazione il LA ha la stessa osmolarità del plasma materno e ne rappresenta un trasudato attraverso la pelle fetale e le superfici placentari (Beall MH et a. 2007). Ciò è possibile in quanto la pelle fetale fino alla 22a settimana di gestazione non è cheratinizzata il che consente al liquido amniotico di attraversarla facilmente. Nella seconda metà della gravidanza il liquido amniotico è un vero e proprio serbatoio dinamico mantenuto entro il range di normalità attraverso la regolazione delle vie di afflusso e deflusso (Brace et al., 2014 , 2018 ). La produzione di liquido amniotico è regolata attraverso l'escrezione polmonare, la produzione di urina fetale, la deglutizione fetale, l'assorbimento per via intramembranosa. L'assorbimento intramembranoso (IMA) si riferisce al trasferimento di liquido amniotico e soluti attraverso l'amnion e nel sistema vascolare sottostante la superficie fetale della placenta. Fig.1. (Moore TR et al., 1990; Gilbert WM, et al., 1997; Schröder HJ et al., 1999).
Fig.1

Studi recenti indicano che la principale via di produzione di liquido amniotico è la via intramembranosa (IMA). Questi studi hanno suggerito che la velocità del trasporto intramembranoso è regolata da stimolatori e inibitori presenti nel LA. Gli stimolatori derivano presumibilmente dall'urina fetale ( Andrerson DF et al., 2013) e gli inibitori dalle membrane fetali ( Brace RA et al., 2014). Con il progredire della gravidanza la produzione di urina fetale diventa la principale fonte di liquido amniotico mentre la deglutizione fetale rimuove il liquido dal compartimento amniotico (Brace et al., 2018 ).
Il prossimo grande passo avanti sarà la comprensione delle caratteristiche degli stimolatori e degli inibitori dell'IMA nonché dei percorsi molecolari che li regolano. Una volta identificati potrebbe essere possibile intervenire farmacologicamente per correggere la quantità di liquido amniotico mediante somministrazione intra-amniotica dello stimolatore o dell'inibitore. Le condizioni di polidramnios potrebbero quindi essere invertite riducendo la concentrazione o la produzione dell'inibitore o aumentando la concentrazione o la produzione dello stimolatore al fine di riportare l'AFV alla normalità. Si potrebbe applicare il contrario se è presente oligoidramnios.
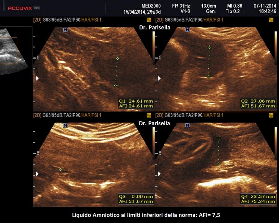
Misurazione ecografica della quantità di liquido amniotico
La quantità di liquido amniotico è indicativa del benessere fetale e le sue alterazioni possono essere la manifestazione di processi patologici che interessano sia la madre che il feto. La valutazione dell'AFV è pertanto una componente essenziale dell'esame ecografico in gravidanza (Magann EF, 2017). I due metodi di misurazione ecografica del liquido amniotico sono la misurazione dell'indice di liquido amniotico AFI (amniotic fluid index) (Rutherford SE, 1987- Moore TR, 1990) e la misurazione della tasca massima (T max) (Manning FA, 1980-Chamberlain PR, 1984). L'AFI si ottiene col metodo dei 4 quadranti: si divide la cavità amniotica in 4 quadranti tracciando una linea mediana verticale ed una linea trasversale a metà strada tra sinfisi pubica e fondo uterino; si individua la tasca di liquido più grande in ciascun quadrante, escludendo i punti dove sono presenti le parti fetali e si effettua la misurazione verticale delle tasche massime in centimetri; la somma delle quattro misurazioni rappresenta l'AFI. Il valore normale di riferimento dell'AFI è: 5-25 cm. Al disotto dei 5 cm. si parla di oligoidramnios, al disopra dei 25 cm. si parla di polidramnios.
Il metodo che sembra la scelta migliore (La singola tasca più profonda nella valutazione del volume del liquido amniotico per la sorveglianza fetale sembra una scelta migliore poiché l’uso dell’AFI aumenta il tasso di diagnosi di oligoidramnios e il tasso di induzione senza miglioramento degli esiti peripartum.Nabhan AF, 2008-2009) è quello di considerare la misurazione verticale della tasca massima nel metodo dei 4 quadranti. I valori di riferimento della Tmax sono 2-8 cm.; se la Tmax è inferiore a 2 si parla di oligoidramnios; se la Tmax è superiore a 8 si parla di polidramnios distinto in lieve lieve (8-11 cm), moderato (12-15 cm) e severo (≥16 cm).

Oligoidramnios
Nell'oligoidramnios la misurazione della tasca massima di liquido amniotico è inferiore a 2 cm. e l'indice di liquido amniotico è inferiore a 5 cm. La tasca singola più profonda è il metodo migliore per la valutazione dell'oligoidramnios e per la valutazione delle gravidanze gemellari. Un liquido amniotico ai limiti inferiori della norma (AFI compreso tra 5 e 8) si può associare a FGR/IUGR (ritardo di crescita intrauterino) o può essere fisiologico a fine gravidanza. Sono essenzialmente tre le cause principali di oligoidramnios prima della 24° settimana (Fetal Medicine Foundation FMF): Anomalie delle vie urinarie, Rottura prematura delle membrane (PROM), Insufficienza uteroplacentare (FGR/IUGR); a queste bisogna aggiungere l'esposizione materna ad alcuni farmaci.
Le anomalie dell'apparato urinario sono rappresentate dall'agenesia renale bilaterale, displasia renale cistica bilaterale, ostruzioni uretrali e vescicali. In tali casi la prognosi è severa: infatti l'assenza di liquido nelle settimane in cui si sviluppano i polmoni (16-26 settimane) può portare ad ipoplasia polmonare ed a morte neonatale. I farmaci che possono provocare oligoidramnios sono gli inibitori dell'enzima di conversione dell'angiotensina (ACE inibitori), bloccanti dei recettori dell'angiotensina, indometacina.
In caso di AFI basso è importante (Magann EF, 2017):
Polidramnios
Nel polidramnios la misurazione della tasca massima di liquido amniotico è superiore a 8 cm. e l'indice di liquido amniotico è superiore a 25 cm. La misurazione della tasca massima viene utilizzata per classificare il polidramnios in lieve (8-11 cm), moderato (12-15 cm) e severo (≥16 cm).
Esistono essenzialmente due cause principali di polidramnios: Ridotta deglutizione fetale e Aumento della diuresi fetale. Bisogna comunque considerare che il polidramnios nel 50-60% dei casi è idiopatico, quindi non se ne conosce la causa. La ridotta deglutizione fetale può essere causata da anomalie cerebrali (ad esempio anencefalia, malformazione di Dandy-Walker), tumori facciali, ostruzione gastrointestinale (come nell’ atresia esofagea o duodenale, ostruzione del piccolo intestino), disturbi polmonari compressivi (ad esempio versamenti pleurici, ernia diaframmatica, CPAM, CHAOS), gabbia toracica stretta conseguente a displasie scheletriche e sequenza ipo-acinesia-deformazione-fetale (dovuta alla compromissione neuromuscolare della deglutizione fetale). L'aumento della diuresi fetale può essere dovuta a diabete mellito materno e uremia materna (l’aumento di glucosio e di urea causano diuresi osmotica), circolazione iperdinamica fetale dovuta ad anemia fetale (es. isoimmunizzazione Rh o infezione congenita), tumori fetali e placentari (es. teratoma sacrococcigeo, corioangioma placentare) o sindrome da trasfusione feto-fetale (Fetal Medicine Foundation FMF).
Management per Tmax/AFI alto
Le gravidanze complicate da polidramnios legato ad anomalie fetali o idiopatico sono ad aumentato rischio di outcome avversi.
In caso di rilievo ecografico di polidramnios è importante (Magann EF, 2017 ):
Abramovich DR, Page Kr: Pathways of water transfer between liquor amnii and the feto-placental unit at term. Eur J Obstet Gynecol 3:155-158,1973.
Antonucci R, Zaffanello M, Puxeddu E, et al: Use of non-steroidal anti-infiammatory drugs in pregnancy: impact of the fetus and newborn. Curr Drug Metab 13(4):474-490, 2012.
Beall MH, van den Wijngaard JP, van Gemert MI, Ross MG: Amniotic fluid dynamics. Placenta 28(8-9):816-823,2007.
Brace, R. A. , Anderson, D. F., Cheung, C. Y. (2014). Regulation of amniotic fluid volume: Mathematical model based on intramembranous transport mechanisms. American Journal of Physiology: Regulatory, Integrative and Comparative Physiology, 307, R1260–R1273.
Brace, R. A. , Anderson, D. F., Cheung, C. Y. (2018). Regulation of amniotic fluid volume: Insights derived from amniotic fluid volume function curves. American Journal of Physiology: Regulatory, Integrative and Comparative Physiology, 315, R777–R789.]
Brace, R. A. , Cheung, C. Y., Anderson, D. F. (2014). Inhibitor of intramembranous absorption in ovine amniotic fluid. American Journal of Physiology: Regulatory, Integrative and Comparative Physiology, 306, R185–R189. 10.1152/ajpregu.00469.2013
Bullo ML, Tschumi S, Bucher BS, et al: Pregnancy outcome following exposure to angiotensin-converting enzyme inhibitors or angiotensin receptor antagonists: a systematic review. Hypertension 60(2):444-450, 2012.
Cecilia Y. Cheung, Debra F. Anderson,Brace RA. Multiomics analyses of vesicular transport pathway-specific transcripts and proteins in ovine amnion: responses to altered intramembranous transport. Physiol Genomics. 2019 Jul 1; 51(7): 267–278.
Cecilia Y. Cheung, Brace RA. Altered proteomics profile in the amnion of patients with oligohydramnios. Physiol Rep. 2020 Feb; 8(4): e14381.
Chamberlain PR, Manning FA, Mprrison I, et al: Ultrasound evaluation of amniotic fluid volume , I:the relationship of marginal and decreased amniotic fluid volumes to perinatal outcomes. Am J Obstet Gynecol 150:245-249,1984.
Chauhan SP, Sanderson M, Hendrix NW, Magann EF, Devoe LD. Perinatal outcome and amniotic fluid index in the antepartum and intrapartum periods: A meta-analysis. Am J Obstet Gynecol. 1999 Dec;181(6):1473-8.
Gilbert WM, Brace RA. The missing link in amniotic fluid volume regulation: intramembranous absorption. Obstet Gynecol . 1989 Nov;74(5):748-54.
Gramellini D, Fieni S, Verrotti C, Piantelli G, Cavallotti D, Vadora E. Ultrasound evaluation of amniotic fluid volume: methods and clinical accuracy. Acta Biomed. 2004;75 Suppl 1:40-4.
Gumus II, Koktener A, Turhan NO. Perinatal outcomes of pregnancies with borderline amniotic fluid index. Arch Gynecol Obstet. 2007 Jul;276(1):17-9.
Hughes DS, Magann EF. Antenatal fetal surveillance "Assessment of the AFV". Best Pract Res Clin Obstet Gynaecol. 2017 Jan;38:12-23.
Karahanoglu E, Altinboga O, Akpinar F, Gultekin IB, Ozdemirci S, Akyol A, Yalvac S. The Effect of the Amniotic Fluid Index on the Accuracy of Ultrasonographic-Estimated Fetal Weight. Ultrasound Q. 2017 Jun;33(2):148-152.
Magann EF, Sandlin AT. Amniotic Fluid Volume in Fetal Health and Disease. Callens. Ultrasonography in Obstetrics and Gynecology. Elsevier inc. 2017. 20; 716-732.
Manning FA, Platt LD, Sipos L: Antepartum fetal evaluation: development of a fetal biophysical profile. Am J Obstet Gynecol 136:787-795, 1980.
Modena AB, Fieni S: Amniotic fluid dynamics. Acta Biomed 75 (suppl 1):11-13,2004.
Moore TR, Cayle JE: The amniotic fluid index in normal human pregnancy. Am J Obstet Gynecol 162:1168-1174,1990.
Morin L, Lim K. Ultrasound in twin pregnancies. J Obstet Gynaecol Can 2011;.33: 643-56.
Nabhan AF, Abdelmoula YA. Amniotic fluid index versus single deepest vertical pocket as a screening test for preventing adverse pregnancy outcome. Cochrane Database Syst Rev. 2008 Jul 16;2008(3):CD006593.
Nabhan AF, Abdelmoula YA: Amniotic Fluid Index versus single deepest vertical pocket: a meta-analysis of randomized controlled trials. Int J Gynaecol Obstet 104 (3):184-188, 2009.
Nash P. Amniotic fluid index. Neonatal Netw. 2013 Jan-Feb;32(1):46-9.
Nawathe A, Lees C. Early onset fetal growth restriction. Best Pract Res Clin Obstet Gynaecol. 2017 Jan;38:24-37.
Ounpraseuth ST, Magann EF, Spencer HJ, Rabie NZ, Sandlin AT. Normal amniotic fluid volume across gestation: Comparison of statistical approaches in 1190 normal amniotic fluid volumes. J Obstet Gynaecol Res. 2017 Jul;43(7):1122-1131.
Roy M, Gajbe UL, Singh BR, Thute P. Morphometric measurement of fetal femur length for the prediction of gestational age in the IInd and IIIrd trimester of pregnancy by ultrasonography . Journal of Datta Meghe Institute of Medical Sciences University : 2017 Volume : 12 Issue : 3 : 187-190
Rutherford SE, Phelan JP, Smith CV, Jacobs N: The four-quadrant assessment of amniotic lluid volume: an adjiunct to antepartum fetal heart rate testing. Obstet Gynecol 70:353-356, 1987.
Sickler GK, Nyberg DA, Sohaey R, Luthy DA. Polyhydramnios and fetal intrauterine growth restriction: ominous combination. J Ultrasound Med. 1997 Sep;16(9):609-14.
SIEOG 2021 (Società Italiana di Ecografia Ostetrica Ginecologica).
Varma TR, Bateman S, Patel RH, Chamberlain GV, Pillai U. Ultrasound evaluation of amniotic fluid: outcome of pregnancies with severe oligohydramnios. Int J Gynaecol Obstet. 1988 Oct;27(2):185-92.