Cisti Ovarica Fetale

Cisti Ovarica Fetale


redatto da Dr. Parisella

E' la patologia cistica più comune nel feto di sesso femminile (Trinh TW  et al. 2015). La maggior parte dei casi si evidenziano nel III trimestre di gravidanza e si tratta di cisti funzionali dovute alla stimolazione dell'ovaio fetale da parte di estrogeni materni, dell'HCG e delle gonadotropine fetali (Erol O, et al. 2013). 

Diagnosi Ecografica

Una cisti ovarica fetale si manifesta comunemente come una Cisti Uniloculare a parete sottile localizzata superiormente e parasagittalmente alla vescica; occasionalmente può essere visualizzata al suo interno una cisti figlia aspetto questo patognomonico di cisti ovarica. L'aspetto può essere anche quello di una cisti complessa e in caso di emorragie endocistiche o di torsione possono assumere l'aspetto di Cisti Uniloculari Solide; in tali casi possono presentarsi con dei setti, con dei livelli o con echi interni mobili (Trinh TW  et al. 2015). Meno frequente è la presenza di cisti bilaterali.                          
                                                            
Complicanza importante è la torsione della cisti che è più frequente quando la cisti supera i 4,0 cm. di diametro (Bascietto F. et al. 2017); in questi casi la formazione cistica mostra una ecostruttura complessa legata ai fenomeni emorragici conseguenti alla torsione. Se l'episodio emorragico è recente la cisti assume un aspetto diffusamente ecogenico; se l'episodio emorragico è meno recente la presenza del coagulo o di sepimenti di fibrina determinano un livello.  

I segni ecografici per discriminare le cisti semplici da quelle complesse sono i seguenti (Nussbaum AR, et al. 2015): le cisti semplici sono completamente anecoiche, a parete sottile e spesso uniloculari mentre le cisti complesse che indicano una emorragia endocistica hanno parete più spessa, presentano livelli di detriti, coaguli  e setti formati da filamenti di fibrina. Occasionalmente una cisti ovarica emorragica può avere un aspetto simile a un teratoma cistico benigno: in tal caso la diagnosi differenziale si fonda sul fatto che i teratomi non cambiano aspetto nel corso di controlli seriati (Jain KA., 2001 - Okumura M, et al. 2015 ). 
E' stata descritta in letteratura una Cisti Ovarica emorragica fetale di grandi dimensioni accompagnata a torsione ovarica ed anemia fetale (Vitezica I, et al. 2014).

Possono essere scambiate per altre cisti addominali: cisti genito-urinarie, cisti gastrointestinali, cisti mesenteriche, cisti omentali, cisti retroperitoneali, linfangiomi. Alla nascita in letteratura è stata riportata la presenza di un Cistoadenoma sieroso (Kim HS, et al. 2016).

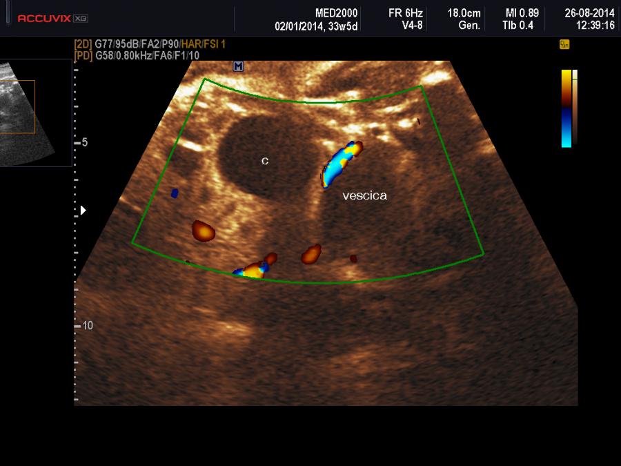
Importanti per la diagnosi sono due elementi: 1) sesso femminile, 2) differenziazione dalla vescica urinaria: tale distinzione è agevole considerando che è possibile evidenziare, con l'ausilio del color-doppler, le due arterie ombelicali che decorrono lateralmente alla vescica. 

In un 10% dei casi si associa polidramnios (Bornstein E, et al. 2001). Vi è una maggiore incidenza nelle gestanti affette da diabete, ipertiroidismo e in quelle condizioni caratterizzate da un aumento della Beta-hCG come ipertensione gravidanza-indotta, isoimmunizzazione Rh, iperplacentosi.

Prognosi

Dimensioni e aspetto ecografico sono le principali condizioni determinanti la prognosi (Bascietto F. et al. 2017)
La probabilità di risoluzione spontanea è più alta nelle cisti semplici rispetto alle cisti complesse ed in quelle di diametro inferiore a 4,0 cm. rispetto a quelle di diametro superiore. Il diametro della cisti maggiore di 4,0 cm. aumenta il rischio di torsione ovarica e la probabilità di un intervento chirurgico post-natale. Nel complesso un aspetto ecografico di tipo complesso aumenta la possibilità di intervento chirurgico rispetto alle cisti uniloculari indipendentemente dal diametro della cisti.

La prognosi è nella maggior parte dei casi favorevole con la regressione spontanea della cisti nella vita intrauterina o dopo la nascita. 

Management 

Se la cisti è piuttosto grande ( > 4-5 cm.) è consigliato l'espletamento del parto mediante taglio cesareo (Vitezica I, et al. 2014).; nel caso di cisti complicata da fenomeni emorragici è indicato l'espletamento del parto  in centro di III livello.
E' utile eseguire:
- controlli ecografici seriati per valutare le dimensioni in corso di gravidanza o la eventuale insorgenza di complicanze (torsione, emmorragia.....);
- controlli ecografici alla nascita;
- consulenza chirurgica pediatrica.

Considerazioni Medico-Legali

L'aspetto ecografico delle cisti ovariche fetali può essere molto simile a quello di altre formazioni cistiche addominali (cisti mesenteriche, omentali e retroperitoneali) per le quali non è possibile la diagnosi differenziale; di solito la diagnosi prenatale di cisti ovarica fetale può essere solo di sospetto e deve essere confermata alla nascita.  

Bibliografia

Bascietto F, Liberati M, Marrone L, Khalil A, Pagani G, Gustapane S, Leombroni M, Buca D, Flacco ME, Rizzo G, Acharya G, Manzoli L, D'Antonio F. Outcome of fetal ovarian cysts diagnosed on prenatal ultrasound examination: systematic review and meta-analysis. Ultrasound Obstet Gynecol. 2017 Jul;50(1):20-31.

Bornstein E, Barnhard Y, Ferber A, Segarra P, Divon MY. Acute progression of a unilateral fetal ovarian cyst to complex bilateral cysts causing acute polyhydramnios. J Ultrasound Med 2006; 25: 523– 526.

Erol O, Erol MB, Isenlik BS, Ozkiraz S, Karaca M. Prenatal diagnosis of fetal ovarian cyst: case report and review of the literature. J Turk Ger Gynecol Assoc. 2013 Jun 1;14(2):119-22.

Jain KA. Sonographic spectrum of hemorrhagic ovarian cysts. J Ultrasound Med 2001; 21: 879– 886.

Nussbaum AR, Sanders RC, Hartman DS, Dudgeon DL, Parmley TH. Neonatal ovarian cysts: sonographic-pathologic correlation. Radiology 1988; 168: 817– 821.

Okumura M, Francisco RP, Shultz R, Zugaib M. Complex fetal ovarian cyst.J Ultrasound Med. 2015 May;34(5):925-6.

Trinh TW, Kennedy AM. Fetal ovarian cysts: review of imaging spectrum, differential diagnosis, management, and outcome. Radiographics. 2015 Mar-Apr;35(2):621-35.

Vitezica I, Czernik C, Rothe K, Hinkson L, Ladendorf B, Henrich W. Prenatal diagnosis and management of a massive fetal ovarian hemorrhagic cyst torsion with secondary fetal anemia. J Clin Ultrasound. 2014 May;42(4):219-22.