Cisti dei Plessi Corioidei

Cisti dei Plessi Corioidei

 
redatto da Dr. Parisella
 

I plessi corioidei, localizzati all'interno dei ventricoli cerebrali, sono un gomitolo di vasi sanguigni rivestiti da un sottile strato di cellule epiteliali che hanno la funzione di produrre Liquido Cerebro Spinale (LCS) contenuto nei ventricoli cerebrali e di fungere da sistema barriera tra sangue e LCS.  

                                                                       

 

La secrezione di LCS da parte dei plessi corioidei  avviene attraverso un processo di osmosi che consente il passaggio transmembrana di liquido dai plessi corioidei alle cavità ventricolari.

Tra sangue e LCS e tra sangue e liquido interstiziale del cervello esistono due barriere definite rispettivamente emato-liquorale ed emato-encefalica, costituite dai plessi corioidei e dalla parete dei capillari di quasi tutte le regioni cerebrali.  Queste barriere operano con un delicato meccanismo a diversa permeabilità permettendo o precludendo il passaggio di sostanze nel LCS  (Guyton AC, Hall JE, 2006 ; Damkier HH. Et al., 2013 ).

Durante lo sviluppo embriologico all'interno dei plessi corioidei possono formarsi delle cisti ripiene di liquido denominate Cisti dei Plessi Corioidei (CPC).

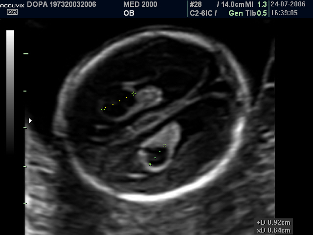
Ecograficamente si presentano come aree cistiche rotondeggianti o ovalari, uniloculari o settate, di diametro variabile da 3 a 9 mm., singole o multiple, monolaterali o bilaterali, localizzate più frequentemente nei plessi corioidei dei ventricoli cerebrali laterali, meno frequentemente nel III e IV ventricolo. 

                                    

                                    

Il riscontro di cisti dei plessi corioidei è un reperto frequente in feti assolutamente normali ma è stato associato anche ad un maggior rischio di anomalie cromosomiche. Esistono in medicina prenatale due gruppi di marcatori ecografici suggestivi di aneuploidia (Raniga S. et al., 2006 ). Il primo gruppo comprende quelli che hanno una alta associazione con anomalie cromosomiche (translucenza nucale,..); il secondo gruppo, denominati soft markers, hanno maggiori probabilità di associazione con anomalie cromosomiche se riscontrati in associazione con altri marcatori (Daniel A et al., 2003; Ben-Ami M., et al., 2009 )

Le CPC sono considerate dei "soft markers". In un recente lavoro (1024 gravide tra 11 e 20 settimane) l'incidenza di CPC è risultata dell'1% (10 su 1024) e nel 20% dei casi (2 su 10) sono state riscontrate anomalie associate (Shah N., 2018 ). In un lavoro di Snijders è riportato il rischio di aneuploidia dei vari marcatori da soli o in associazione: per quanto riguarda le cisti dei plessi corioidei isolate presentano un rischio dell'1% che passa al 48% in associazione con altri marcatori (Snijders RJ et al., 1996 ). Se consideriamo l'anomalia cromosomica più frequente, la Sindrome di Down, alcuni autori riportano che le CPC non ne aumentano il rischio (Gupta JK et al., 1995; Bromley B et al., 1996 ). Altri autori riportano un rischio aumentato per cromosomopatie in caso di associazione con altri marcatori o di anomalie fetali (Lu JW et al., 2017; Renna MD et al., 1996 ). Discorso a parte è la Trisomia 18 dove il riscontro di cisti dei plessi corioidei è rilevato nel 50% dei feti affetti in associazione con altre anomalie evidenziabili ecograficamente: ritardo di crescita, polidramnios, piede torto, ... (Cereda A,  et al., 2012;  Cho RC et al., 2009; Hill LM. 1996 ).

 Clinica

Le cisti dei plessi corioidei sono un reperto molto frequente in feti con cariotipo assolutamente normale e secondo alcuni Autori la loro presenza non modifica il rischio di trisomia 21. Esse sono considerate un marcatore debole "soft marker". Secondo altri il rischio aumenta specie se non isolate o in associazione con altri marcatori. Sono frequenti nella Trisomia 18 dove sono associate ad anomalie ben visibili da Ecografisti esperti: IUGR, Piede Torto, Polidramnios, ...

Pertanto in presenza di CPC isolate senza altri fattori di rischio è utile un attento studio della morfologia fetale senza ricorso a tecniche invasive; alcuni Autori riportano in letteratura la possibilità di associare l'ecografia ad un test per la ricerca del DNA fetale nel sangue materno (NIPT). Se sono presenti altri soft markers o anomalie fetali o in pazienti con età pari o superiore a 35 anni o in caso di test biochimico positivo è raccomandato lo studio del cariotipo fetale mediante tecniche invasive: nel I trimestre è consigliata la Villocentesi, nel II trimestre l'Amniocentesi con tecnica CGH-Array; sia nel I che nel II trimestre può essere proposto alla coppia, nel caso la gestante non voglia correre il rischio di interrompere la gravidanza come complicanza possibile della tecnica invasiva, il ricorso ad un NIPT (test prenatale non invasivo).

E' importante in caso di riscontro di CPC eseguire una attenta ecografia per lo studio dell'anatomia fetale con particolare riguardo a quelle anomalie caratteristiche del fenotipo della Trisomia 18.

 Considerazioni Medico Legali

I dati attualmente disponibili in letteratura suggeriscono che ogni qualvolta viene scoperta una cisti dei plessi corioidei è necessario ricercare attentamente eventuali anomalie associate, specie quelle caratteristiche della trisomia 18 ( es. IUGR e piede torto). Rimane il principio che di fronte al rilievo di cisti dei plessi corioidei la possibilità più alta è che ci si trovi di fronte ad un feto perfettamente sano e che non essendovi unanimità di vedute nel tipo di management da adottare appare chiaro che la decisione di ricorrere o meno allo studio del cariotipo mediante tecniche invasive (villocentesi, amniocentesi) spetta alla paziente. Bisogna informare la paziente sulla possibilità di avere una diagnosi molecolare sul DNA fetale (NIPT) mediante prelievo venoso alla gestante precisando che tale tecnica consente  nei test di base una diagnosi limitata alle trisomie 21,18 e 13, alle anomalie dei cromosomi sessuali e ad alcune delezioni oppure nei Test più avanzati è possibile studiare tutti e 46 i cromosomi e varie patologie genetiche e rispetto all'amniocentesi hanno il vantaggio di non sottoporre la paziente a rischio di interruzione della gravidanza; bisogna tenere presente che il NIPT non è un test diagnostico ma di screening e in caso di positività  è necessario per avere una diagnosi certa effetturare tecniche invasive (Linee guida Screening prenatale non invasivo basato sul DNA (Non Invasive Prenatal Testing - NIPT) a cura di Ministero Salute - Consiglio Superiore di Sanità ).

 

Bibliografia

Linee Guida SIEOG 2015, 2021
Linee guida Screening prenatale non invasivo basato sul DNA (Non Invasive Prenatal Testing - NIPT) a cura di Ministero Salute - Consiglio Superiore di Sanità )
Ben-Ami M, Jadaon JE. The genetic sonogram. Harefuah. 2009 Jul;148(7):455-9, 474.
Bromley B, Lieberman R, Benacerraf BR. Choroid plexus cysts: not associated with Down syndrome. Ultrasound Obstet Gynecol. 1996;8:232-235.
Cereda A, Carey JC. The trisomy 18 syndrome. Orphanet J Rare Dis. 2012;7:81.
Cho RC, Chu P, Smith-Bindman R. Second trimester prenatal ultrasound for the detection of pregnancies at increased risk of Trisomy 18 based on serum screening. Prenat Diagn. 2009;29:129-139.
Damkier HH, Brown PD, Praetorius J, Cerebrospinal fluid secretion by the choroid plexus, in Physiol. Rev., vol. 93, nº 4, 2013, pp. 1847–92
Daniel A, Athayde N, Ogle R, George AM, Michael J, Pertile MD, Bryan J, Jammu V, Trudinger BJ. Prospective ranking of the sonographic markers for aneuploidy: data of 2143 prenatal cytogenetic diagnoses referred for abnormalities on ultrasound. Aust N Z J Obstet Gynaecol. 2003;43:16-26.
Demasio K, Canterino J, Ananth C, et Al. Isolated choroid plexus cystis in low-risk women less than 5 years old. Am J Obstet Gynecol 2002;187:1246-9.
Gupta JK, Cave M, Lilford RJ, Farrell TA, Irving HC, Mason G, Hau CM. Clinical significance of fetal choroid plexus cysts. Lancet. 1995;346:724-729.
Guyton AC, Hall JE. Textbook of medical physiology. Elsevier inc. 2006.;  XI: 767-769
Hill LM. The sonographic detection of trisomies 13, 18, and 21. Clin Obstet Gynecol. 1996;39:831-850.
Lu JW, Lin L, Xiao LP, Li P, Shen Y, Zhang XL, Zhang M, Yu MX, Zhang YZ. Prognosis of 591 fetuses with ultrasonic soft markers during mid-term pregnancy. J Huazhong Univ Sci Technolog Med Sci. 2017 Dec;37(6):948-955.
Raniga S, Desai PD, Parikh H. Ultrasonographic soft markers of aneuploidy in second trimester: are we lost? MedGenMed. 2006;8:9.
Renna MD, Pisani P, Conversano F, Perrone E, Casciaro E, Renzo GC, Paola MD, Perrone A, Casciaro S. Sonographic markers for early diagnosis of fetal malformations. World J Radiol. 2013 Oct 28;5(10):356-71.
Shah N. Prenatal Diagnosis of Choroid Plexus Cyst: What Next? J Obstet Gynaecol India. 2018 Oct;68(5):366-368.
Snijders RJ, Sebire NJ, Nicolaides KH. Assessment of risks. Ultrasound Markers for Fetal Chromosomal Defects. New York: Parthenon 1996; 62-120.