Sindrome da Trasfusione Feto Fetale - Twin Twin Trasfusion Syndrome (TTTS)
È una patologia caratteristica delle gravidanze gemellari monocoriali caratterizzata dal passaggio anomalo di sangue da un gemello (donatore) all’altro (ricevente). La prevalenza è del 10-15% nelle gravidanze monocoriali biamniotiche rispetto alle gravidanze monocoriali monoamniotiche dove la prevalenza è del 4% (Miller JL., 2021).
Fisiopatologia
Nelle gravidanze gemellari monocoriali esiste una zona della placenta, definita equatore vascolare, in cui i vasi sanguigni appartenenti al letto vascolare di un gemello presentano anastomosi con il letto vascolare dell’altro gemello.
.jpg)
Quando il delicato equilibrio tra i vasi sanguigni dei due gemelli viene meno si verifica la malattia. La sindrome TTTS è caratterizzata dal passaggio anomalo di sangue e di sostanze vasoattive attraverso le anastomosi da un gemello (definito donatore) all’altro (definito ricevente). Lo squilibrio emodinamico che ne deriva comporta un aumento del volume di liquidi nel gemello ricevente con aumento del precarico dimostrato da un flusso venoso ombelicale più elevato (Yamamoto M. et al., 2007), che provoca aumento di volume delle camere cardiache con rilascio del peptide natriuretico atriale e cerebrale cui segue un aumento della diuresi e conseguente polidramnios (Van Mieghem T. et al, 2010; Habli M. et al, 2010). Inoltre aumenta la produzione di endotelina, un potente vasocostrittore, con conseguente ipertensione del ricevente ed ipertrofia cardiaca e rigurgito valvolare (Habli M. et al, 2010; Bajoria R. et al, 1999). Di converso nel gemello donatore si ha ipovolemia e successivamente una ridotta produzione di urina con conseguente oligoidramnios e riempimento vescicale minimo o assente. In risposta si verifica una sovraregolazione del sistema renina-angiotensina che passa al ricevente ipervolemico attraverso la circolazione condivisa amplificando l’ipertensione e la cardiomiopatia (Mahieu-Caputo D. et al, 2005; Galea P. et al, 2008).
Le variazioni emodinamiche caratteristiche della TTTS possono portare alla malattia cardiaca sia funzionale che strutturale per ciascun feto. Cambiamenti nella funzione cardiaca del ricevente possono essere osservati prima dello sviluppo di TTTS conclamata e possono includere ingrossamento cardiaco, ipertrofia biventricolare, rigurgito valvolare, ridotta contrattilità (Michelfelder E. et al, 2007; Stirnemann JJ,. Et al, 2010). L'ipertrofia del ventricolo destro e l'ipertensione, abbinate al rigurgito tricuspidale, possono portare a una diminuzione del flusso attraverso la valvola polmonare e il tratto di efflusso destro, creando essenzialmente un'ostruzione funzionale dell'efflusso del ventricolo destro sottovalvolare fino al 9% dei riceventi (Lougheed J. Et al, 2001; Michelfelder E. et al, 2015) . Questi risultati possono risolversi dopo il trattamento, ma possono verificarsi una stenosi polmonare persistente o un'atresia funzionale che richiedono un trattamento postnatale (Herberg U. et al, 2006). Le cardiopatie strutturali e le disfunzioni cardiache hanno meno probabilità di essere diagnosticate nei feti donatori, tuttavia il ridotto flusso attraverso l'istmo aortico dovuto all'ipovolemia, il ridotto ritorno venoso e la maggiore resistenza placentare possono evolvere in coartazione (van den Boom J. Et al, 2010; Manning N. et al, 2016).
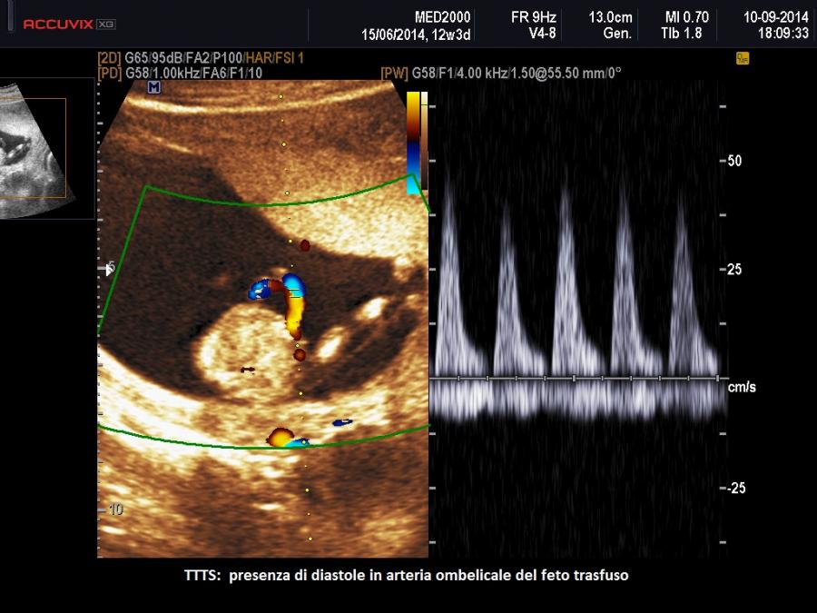
Diagnosi
La diagnosi di sindrome da trasfusione feto-fetale è ecografica.
Prerequisiti essenziali per il sospetto diagnostico di TTTS sono:
A 11-14 settimane si sospetta una TTTS quando:
Dopo la 15a settimana:
La visualizzazione della vescica e la valutazione della flussimetria Doppler del cordone ombelicale e del dotto venoso in entrambi i feti permette di definire lo stadio di evoluzione della patologia che viene distinta in 5 stadi (Quintero R. et al, 1999):
Management
L'incidenza di anomalie cromosomiche o sindromi genetiche non è aumentata; non vi è aumento del rischio di ricorrenza
Controllo ecografico ogni settimana per monitorare la crescita fetale, il volume del liquido amniotico, l'indice di pulsatilità nell'arteria ombelicale, nell'arteria cerebrale media e nel dotto venoso in entrambi i feti.
Il trattamento di prima scelta della sindrome da trasfusione feto-fetale è rappresentato dalla coagulazione laser endoscopica delle anastomosi vascolari placentari. Il razionale di questo intervento è quello di interrompere lo scambio anomalo instauratosi a livello dei vasi sanguigni placentari e ristabilire una circolazione adeguata per entrambi i gemelli. L’intervento viene eseguito in anestesia locale materna e sedazione, in regime di ricovero (Miller JL., 2021).
Stadio 1:
Stadi 2-4:
Bibliografia
Bajoria R, Sullivan M, Fisk NM. Endothelin concentrations in monochorionic twins with severe twin-twin transfusion syndrome. Hum Reprod 1999;14:1614-8.
Bamberg C, Hecher K. Update on twin-to-twin transfusion syndrome. Best Pract Res Clin Obstet Gynaecol. 2019 Jul;58:55-65.
Bamberg C, Hecher K. Twin-to-twin transfusion syndrome: Controversies in the diagnosis and management. Best Pract Res Clin Obstet Gynaecol. 2022 Nov;84:143-154.
Callen P.W. et al Ecografia in Ostetricia e Ginecologia (2009). 8: 281-287.
Fetal Medicine Foundation
Galea P, Barigye O, Wee L, et al. The placenta contributes to activation of the renin angiotensin system in twin-twin transfusion syndrome. Placenta 2008;29:734-42.
Habli M, Cnota J, Michelfelder E, et al. The relationship between amniotic fluid levels of brain-type natriuretic peptide and recipient cardiomyopathy in twin-twin transfusion syndrome. Am J Obstet Gynecol 2010;203:404.e1-7.
Herberg U, Gross W, Bartmann P, et al. Long term cardiac follow up of severe twin to twin transfusion syndrome after intrauterine laser coagulation. Heart 2006;92:95-100.
Khalil A, Cooper E, Townsend R, Thilaganathan B. Evolution of Stage 1 Twin-to-Twin Transfusion Syndrome (TTTS): Systematic Review and Meta-Analysis. Twin Res Hum Genet. 2016 Jun;19(3):207-16.
Lougheed J, Sinclair BG, Fung Kee Fung K, et al. Acquired right ventricular outflow tract obstruction in the recipient twin in twin-twin transfusion syndrome. J Am Coll Cardiol 2001;38:1533-8.
Mahieu-Caputo D, Meulemans A, Martinovic J, et al. Paradoxic activation of the renin-angiotensin system in twin-twin transfusion syndrome: an explanation for cardiovascular disturbances in the recipient. Pediatr Res 2005;58:685-8.
Manning N, Archer N. Cardiac Manifestations of Twin-to-Twin Transfusion Syndrome. Twin Res Hum Genet 2016;19:246-54.
Michelfelder E, Gottliebson W, Border W, et al. Early manifestations and spectrum of recipient twin cardiomyopathy in twin-twin transfusion syndrome: relation to Quintero stage. Ultrasound Obstet Gynecol 2007;30:965-71.
Michelfelder E, Tan X, Cnota J, et al. Prevalence, Spectrum, and Outcome of Right Ventricular Outflow Tract Abnormalities in Twin-twin Transfusion Syndrome: A Large, Single-center Experience. Congenit Heart Dis 2015;10:209-18.
Miller JL. Twin to twin transfusion syndrome.Transl Pediatr. 2021 May;10(5):1518-1529.
Quintero R., Morales W., Allen M., et al (1999) Staging of TTTS. J. Perinatol 19: 550-555
Simpson LL , Society for Maternal-Fetal Medicine. Twin-twin transfusion syndrome. Am J Obstet Gynecol. 2013 Jan;208(1):3-18.
Stirnemann JJ, Mougeot M, Proulx F, et al. Profiling fetal cardiac function in twin-twin transfusion syndrome. Ultrasound Obstet Gynecol 2010;35:19-27.
Yamamoto M, Nasr B, Ortqvist L, et al. Intertwin discordance in umbilical venous volume flow: a reflection of blood volume imbalance in twin-to-twin transfusion syndrome. Ultrasound Obstet Gynecol 2007;29:317-20.
Van Mieghem T, Doné E, Gucciardo L, et al. Amniotic fluid markers of fetal cardiac dysfunction in twin-to-twin transfusion syndrome. Am J Obstet Gynecol 2010;202:48.e1-7.
van den Boom J, Battin M, Hornung T. Twin-twin transfusion syndrome, coarctation of the aorta and hypoplastic aortic arch: a case series report. J Paediatr Child Health 2010;46:76-9.