NT Translucenza Nucale
NT Translucenza Nucale
redatto da P.Parisella
La translucenza nucale è un marker rilevabile tra le 11 settimane + 0 gg. e 13 settimane + 6 gg. di gestazione, più precisamente in un range del CRL compreso tra 45 mm. e 84 mm. Essa appare caratterizzata ecograficamente dall'accumulo sottocutaneo di fluido dietro il collo fetale nel primo trimestre di gravidanza. La Fetal Medicine Foundation (FMF) di Londra ha dettato i criteri da adottare per una corretta misurazione della NT:
- CRL compreso tra 45 e 84 mm.
- l'ingrandimento dell'immagine ecografica deve essere tale che solo testa e parte alta del torace fetale devono occupare tutto lo schermo o almeno il 75%
- sezione sagittale mediana del feto
- il collo del feto deve essere in posizione neutra (ne flesso che sottostimerebbe la misura, ne iperesteso che sovrastimerebbe la misura)
- posizionamento dei calipers "on to on": i cursori devono essere posizionati sui bordi interni delle linee che delimitano lo spazio della translucenza nucale senza che le linee orizzontali dei cursori protudano in questo spazio (vedasi immagine)
- corretta individuazione della membrana amniotica per non confonderla con la cute fetale
- la misurazione deve essere eseguita in corrispondenza della parte più ampia della Translucenza
- deve essere fatta più di una misurazione ed inserito nel database il valore massimo acquisito
- corretta visualizzazione dell'osso nasale: nell'immagine del naso devono essere presenti tre linee distinte; la linea superiore che rappresenta la cute e quella inferiore, che risulta più spessa e più ecogenica della sovrastante, rappresenta l'osso nasale; la terza linea, distalmente, rappresenta la punta del naso
- in una piccola percentuale dei casi il cordone può trovarsi intorno al collo fetale: in questi casi la misurazione della NT al disopra e al disotto del punto di contatto del cordone con il collo fetale sono diverse e, nel calcolo del rischio, si utilizza la media dei due valori ottenuti.


Si è osservato che nei feti sani lo spessore della NT tende ad aumentare con l'incremento del CRL; di conseguenza anche i valori soglia della NT cambiano col variare dei valori del CRL: a 11 settimane con un CRL di 45 mm. i valori possono variare da 1,2 mm. (50° percentile) a 2,1 mm. (95° percentile), mentre a 13 sett. + 6 gg. con un CRL di 84 mm., i valori possono variare da 1,9 mm. (50° percentile) a 2,7 mm. (95° percentile); il 99° percentile non varia col CRL ed è circa 3,5 mm. Si intende per translucenza nucale aumentata uno spessore di NT al disopra del 95° percentile. Con un software dedicato che prende in considerazione NT, CRL, età materna e Frequenza Cardiaca Fetale (FHR), con un cut-off attualmente di 1/100 (Fetal Medicine Foundation) è possibile calcolare il rischio di anomalie cromosomiche con una sensibilità di circa il 90% ed una percentuale di falsi positivi di circa il 5%. La FHR assume notevole importanza nello screening della Trisomia 13: infatti circa l'85% dei feti con Trisomia 13 hanno una frequenza cardiaca al disopra del 95° percentile; nella Trisomia 21 solo il 15% dei feti ha un lieve aumento della FHR oltre il 95° percentile, mentre nella Trisomia 18 solo il 15% dei feti ha una lieve diminuzione della FHR al disotto del 5° percentile.

Si può utilizzare anche un test combinato (NT + Bi-test) che permette di identificare circa il 90% dei casi affetti da Trisomia 21 con una percentuale di falsi positivi del 3%; questo test utilizza oltre che la NT , l'età materna e la Frequenza Cardiaca Fetale (FHR) anche il dosaggio plasmatico di free-beta-hCG e PAPP-A (ricordiamo come nella sindrome di Down la free-beta-hCG aumenta mentre la PAPP-A diminuisce). In donne fumatrici o in gravidanze ottenute mediante tecniche di riproduzione medicalmente assistita (PMA) i livelli sierici di PAPP-A risultano diminuiti. Questo dato potrebbe portare ad un erroneo aumento del rischio per trisomia 21 con un sostanziale incremento della percentuale di falsi positivi.
Nello screening combinato la valutazione della FHR ha una notevole importanza; infatti, come detto prima, nell'85% dei feti con Trisomia 13 si ha una aumento della FHR oltre il 95° percentile; questa caratteristica permette di distinguere tra trisomia 18 e trisomia 13 che hanno caratteristiche ecografiche e biochimiche simili: NT aumentata, valori ridotti di Beta-hCG libera e PAPP-A nel siero materno
E' inoltre possibile associare alla NT un Test del DNA Fetale circolante nel sangue materno (cell freeDNA). L'analisi del cfDNA nel sangue materno può rilevare circa il 99% dei feti con trisomia 21 e il 98% dei feti con trisomia 18 o 13 con un tasso di falsi positivi (FPR) dello 0,1-0,2%. Pertanto, nelle gravidanze singole, le prestazioni dello screening di queste trisomie mediante il test del cfDNA sono superiori, sia in termini di tasso di rilevamento più elevato che di FPR sostanzialmente inferiore, a quelle di tutti gli altri metodi che combinano età materna, risultati ecografici del primo o secondo trimestre e primo - o analisi biochimiche del siero del secondo trimestre (The Fetal Medicine Foundation. The 11-13 weeks scan. www.fetalmedicine.com). Un risultato cfDNA positivo o ad alto rischio deve essere confermato mediante test invasivi.
Le principali anomalie cromosomiche che possono essere associate ad un aumento della NT sono:
- Sindrome di Down o Trisomia 21
- Sindrome di Edwards o Trisomia 18
- Sindrome di Patau o Trisomia 13
- Sindrome da delezione 22q11.2 o Sindrome velocardiofacciale o Sindrome di Di George OMIM 188400
Nei feti in cui vi è una NT aumentata e cariotipo normale viene riportata una maggiore frequenza di cardiopatie congenite, displasie scheletriche, sindromi genetiche, anomalie strutturali.
Le principali anomalie congenite associate alla NT aumentata e cariotipo normale sono le cardiopatie congenite.
Nello screening di queste patologie possono essere utilizzati altri markers in associazione alla NT come il rigurgito della tricuspide e la velocimetria doppler del dotto venoso di Aranzio.
Osso Nasale - NB
Per una corretta valutazione della presenza/assenza dell'osso nasale i parametri da rispettare sono gli stessi della NT.
L'immagine caratteristica è la presenza di tre linee:
- due prossimali, parallele, dette "equal sign", che rappresentano l'osso nasale inferiormente e la pelle che lo riveste superiormente;
- la terza linea, distalmente, rappresenta la punta del naso.
L'assenza dell osso nasale può osservarsi anche in feti normali, specie alla 11a settimana di gestazione, e può essere anche legata a fattori etnici o costituzionali; ad es. nelle popolazioni africane e caraibiche l'assenza dell'osso nasale ha una maggiore incidenza rispetto alla razza caucasica; infatti nelle etnie afro-caraibiche l'incidenza di assenza dell'osso nasale è di circa il 10% mentre nella razza caucasica l'incidenza e dell' 1%.
Tricuspide
E' possibile visualizzare, alla stessa epoca in cui si effettua la NT, la eventuale presenza di un rigurgito della valvola tricuspide che si associa al 60% di feti affetti da sindrome di Down.
La valutazione del flusso tricuspidale migliora l'efficacia dello screening combinato aumentando la sensibilità dal 90% al 95% con una riduzione della percentuale di falsi positivi dal 3% al 2,5%.
La tecnica di rilevamento è la seguente: dalla posizione di misurazione della NT in cui è possibile osservare il cuore in posizione apicale, con feto non in movimento, si posiziona il volume campione a cavallo della valvola tricuspide in almeno tre diversi punti (mediale, centrale, laterale). Il settaggio Doppler deve essere il seguente: volume campione 3 mm., PRF regolata in modo da poter visualizzare una velocità dell'onda flussimetrica fino a 100 cm./sec. Il rigurgito della tricuspide è caratterizzato da un'onda invertita con velocità che raggiunge e supera i 60 cm./sec.. L'insufficienza tricuspidale nei feti con NT aumentata e cariotipo normale si associa ad una più alta percentuale di feti affetti da cardiopatie congenite per cui è opportuno, in questi casi, consigliare una ecocardiografia fetale.
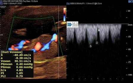
Dotto Venoso
Il razionale dello studio del flusso nel dotto venoso è legato al fatto che nei feti con anomalie cromosomiche e con malformazioni cardiache si può avere una inversione dell'onda relativa alla contrazione atriale (onda A). L'inversione dell'onda A nel dotto venoso si riscontra nel 65% dei feti affetti da Trisomia 21. Normalmente l'onda flussimetrica caratteristica del dotto venoso è rappresentata da:
- onda S caratteristica delle sistole ventricolare
- onda D caratteristica della fase protodiastolica
- onda A caratteristica delle contrazione atriale
Un'onda A invertita si associa ad un rischio elevato per:
- anomalie cromosomiche
- cardiopatie congenite
- morte fetale
Tuttavia in circa l'80% dei casi in cui l'onda A è invertita l'outcome della gravidanza è normale.
Se l'onda A nel dotto venoso è invertita è importante:
- monitorare la crescita fetale mediante ecografie a 20, 28 e 34 settimane
- controllare l'indice di pulsatilità nelle arterie uterine
La valutazione del flusso nel dotto venoso migliora l'efficacia dello screening combinato aumentando la sensibilità dal 90% al 95% con una riduzione della percentuale di falsi positivi dal 3% al 2,5%.
Lo studio del flusso nel dotto venoso e del flusso della tricuspide possono essere utilizzati nei feti con NT aumentata (spessore > 3,5 mm.) e cariotipo normale per identificare i casi che necessitano di controlli più frequenti per il rischio di cardiopatie congenite.
Al di la di Feti assolutamente normali le Patologie (Displasie scheletriche e Sindromi congenite) che possono associarsi ad NT aumentata e cariotipo normale sono appresso elencate:
- Acondrogenesi
- Acondroplasia
- Anemia di Blackfan-Diamond
- Anemia diseritropoietica
- Anemia di Fanconi
- Associazione CHARGE
- Atrofia muscolare spinale tipo 1
- Craniosinostosi
- Displasia campomelica
- Displasia cleido-cranica
- Displasia tanatofora
- Displasia Toracica Asfissiante o Sindrome di Jeune
- Distrofia miotonica
- Ectrodattilia palatoschisi EEC 3
- FADS - Sequenza da Ipoacinesia Fetale
- GM1-Gangliosidosi
- Iperplasia surrenalica
- Ipocondroplasia
- Ipofosfatasia
- Linfedema
- Long chain HAD deficiency
- Mucopolisaccaridosi tipo VII
- Osteocondro di Blomstrand
- Osteogenesi imperfetta tipo II
- Porfiria eritropoietica
- Rachitismo vitamina D-resistente
- Sirenomelia
- Sindrome coste corte con o senza polidattilia
- Sindrome da rene policistico infantile
- Sindrome del cranio a trifoglio Kleeblattschaedel Syndrome OMIM 148800
- Sindrome di Apert o Acrocefalosindatilia OMIM 101200
- Sindrome di Beckwith - Wiedeman OMIM 130650
- Sindrome di Cornelia de Lange OMIM 122470 o S.di Brachmann-de Lange
- Sindrome di Fowler OMIM 225790
- Sindrome di Fryns OMIM 229850
- Sindrome idro-letale
- Sindrome di Jarcho-Levin Disotosi spondilocostali
- Sindrome di Joubert
- Sindrome di Meckel-Gruber
- Sindrome di Nance-Sweeney
- Sindrome di Noonan OMIM 163950
- Sindrome di Perlman OMIM 267000
- Sindrome di Roberts - S. SC o S.da Pseudotalidomide OMIM 268300
- Sindrome di Robinow
- Sindrome di Smith-Lemli-Opitz OMIM 270400
- Sindrome di Stickler
- Sindrome di Treacher-Collins OMIM 154500
- Sindrome di Zellweger
- Sindrome nefritica
- Sindrome TAR o Thrombocytopenia Absent Radius
- Talassemia a
- Trigonocefalia 'C'
- VACTERL Associazione
Le anomalie strutturali che possono accompagnarsi a NT aumentata e cariotipo normale sono:
- ernia diaframmatica
- onfalocele
- body stalk anomaly
Di converso in caso di NT normale sono state descritte anomalie del cariotipo spesso associate alla presenza di altri soft markers.
E' opportuno fare alcune considerazioni medico-legali. La NT, come altri markers, non è espressione di malformazione fetale ma è un indicatore di sospetto per cromosomopatie, cardiopatie congenite, displasie scheletriche e sindromi congenite; la cromosomopatia associata più frequentemente ad una NT aumentata è la Sindrome di Down. In presenza di una NT aumentata o di un test combinato (NT + Bi-Test) alterato il Medico Ecografista deve informare la paziente sulle problematiche correlate e sulla opportunità di effettuare sia uno studio del cariotipo fetale (Amniocentesi) che una consulenza genetica. In questi casi la scelta di effettuare l'esame del cariotipo fetale fuga tutti i dubbi potendosi avere la certezza di un cariotipo normale o alterato ma sottopone la paziente al rischio di incorrere nella complicanza più temuta per questa metodica invasiva, l'interruzione della gravidanza, col rischio di interrompere una gravidanza con feto sano. Si può informare la coppia sulla possibilità di effettuare un test sul DNA Fetale circolante nel sangue materno (NIPT - cell freeDNA) mediante prelievo di sangue venoso alla paziente gravida; tale test ha il vantaggio di non sottoporre la paziente a rischio di interruzione della gravidanza rispetto all'amniocentesi ma in caso di positività bisogna ricorrere all'amniocentesi per la conferma. Inoltre questo test ha una attendibilità del 99,9% per quanto riguarda la Sindrome di Down ma più bassa per altre anomalie cromosomiche. In caso di NT aumentata e cariotipo normale la possibilità che il feto possa essere affetto da una sindrome congenita aumenta con l'aumentare della NT variando dal 2,5% (per una NT compresa tra il 95°-99° percentile) al 45% ( per una NT superiore al 99° percentile).
Allo stato attuale si può affermare che (tratto da FMF):
Un metodo di screening più efficace si basa sulla combinazione di:
- Età materna
- Un campione di sangue materno per la misurazione dei prodotti placentari di ß-hCG libera e PAPP-A
- Un'ecografia a 11-13 settimane:
- per misurare la raccolta di liquido dietro il collo fetale (traslucenza nucale)
- per esaminare il naso e il palato del feto
- per misurare la frequenza cardiaca fetale
- per valutare il flusso di sangue attraverso la valvola tricuspide del cuore fetale e il dotto venoso
Questo nuovo metodo di screening riduce drasticamente il numero di donne che necessitano di un test invasivo da circa il 20% a meno del 3% e allo stesso tempo aumenta il tasso di rilevamento della sindrome di Down e di altre anomalie cromosomiche importanti da meno del 50% a più di 95 % (The Fetal Medicine Foundation. The 11-13 weeks scan. www.fetalmedicine.com).
Bibliografia
Bestwick JP, Huttly WJ, Wald NJ. Evaluation of a proposed mixture model to specify the distributions of nuchal translucency measurements in antenatal screening for Down's syndrome. J Med Screen. 2010;17(1):13-8.
Chung JH, Yang JH, Song MJ, Cho JY, Lee YH, Park SY, Moon MJ, Lim HJ, Choi JS, Kim JO, Shin JS, Ahn HK, Han JY, Kim MY, Choi KH, Ryu HM. The distribution of fetal nuchal translucency thickness in normal Korean fetuses. J Korean Med Sci. 2004 Feb;19(1):32-6.
Cicero S. et al. Likelihood ratio for trisomy 21 in fetuses with absent nasal bone at the 11-14 weeks scan. Ultrasound Obstet Gynecol. 2004 mar; 23 (3): 218:23.
Clur SA, et al. The cuchal translucency and the fetal heart: a literature review. Prenatal Diagn, 2009; 29 (8): 739-48
De Biasio P. et al. First-trimester fetal nuchal translucency and inherited metabolic disorders. Prenatal Diagn. 2006; 26: 77-80
Jou HJ, Wu SC, Li TC, Hsu HC, Tzeng CY, Hsieh FJ.Relationship between fetal nuchal translucency and crown-rump length in an Asian population. Ultrasound Obstet Gynecol. 2001 Feb;17(2):111-4.
Kor-Anantakul O, Suntharasaj T, Suwanrath C, Chanprapaph P, Sirichotiyakul S, Ratanasiri T, Vuthiwong C, Geater A. Distribution of normal nuchal translucency thickness: a multicenter study in Thailand. Gynecol Obstet Invest. 2011;71(2):124-8.
Maiz N. et al. Screening for adverse pregnancy outcome by ductus venosus Doppler at 11-13+6 weeks of gestation. Obstet Gynecol. 2008 Sep; 112 (3): 598-605.
Makrydimas G. et al. Nuchal translucency and fetal cardiac defets: a pooled analysis of major fetal echocardiography centers. Am J Obstet Gynecol, 2005; 192: 89-95.
Markov D, Chernev T, Dimitrova V, Mazne?kova V. First trimester nuchal translucency thickness in normal fetuses in the Bulgarian population. Akush Ginekol (Sofiia). 2005;44(5):3-8.
Nicolaide KH. L'ecografia delle 11-13 + 6 settimane di gravidanza. Fetal Medicine Foundation, Londra.
Nicolaides KH, et al.Fetal nuchal translucency: ultrasound screening for chromosomal defects in first trimester of pregnancy. BMJ. 1992 Apr 4;304(6831):867-9.
Nicolaides KH. Nuchal Translucency and other first-trimester sonographic markers of chromosomal abnormalities. Am J Obstet Gynecol, 2004; 191 (1): 45-67.
Novelli A, Grati FR, Ballarati L, Bernardini L, Bizzoco D, Camurri L, Casalone R, Cardarelli L, Cavalli P, Ciccone R, Clementi M, Dalprà L, Gentile M, Gelli G, Grammatico P, Malacarne M, Nardone AM, Pecile V, Simoni G, Zuffardi O, Giardino D. Microarray application in prenatal diagnosis: a position statement from the cytogenetics working group of the Italian Society of Human Genetics (SIGU), November 2011. Ultrasound Obstet Gynecol. 2012 Apr;39(4):384-8.
Salomon LJ, Chalouhi GE, Bernard JP, Ville Y; Société française pour l'amélioration des pratiques échographiques (SFAPE). [Nuchal translucency thickness at 11-14 weeks of gestation: French charts and equations. J Gynecol Obstet Biol Reprod (Paris). 2009 Dec;38(8):635-41.
SIEOG. Linee Guida SIEOG. Editeam Edizioni 2010.
SIEOG. Linee Guida SIEOG. Editeam Edizioni 2015
Snijders RJ, Noble P, Sebire N, Souka A, Nicolaides KH. UK multicentre project on assessment of risk of trisomy 21 by maternal age and fetal nuchal-translucency thickness at 10-14 weeks of gestation. Fetal Medicine Foundation First Trimester Screening Group. Lancet. 1998 Aug 1;352(9125):343-6.
Souka AP et al. Increased nuchal translucency with normal karyotype. Am J Obstet Gynecol, 2005; 192 /4): 1005-21.
Spencer K, Bindra R, Cacho AM, Nicolaides KH. The impact of correcting for smoking status when screening for chromosomal anomalies using maternal serum biochemistry and fetal nuchal translucency thickness in the first trimester of pregnancy. Prenat Diagn. 2004;24:169-73.
Spencer K, Bindra R, Nix AB, Heath V, Nicolaides KH. Delta-NT or NT MoM: which is the mostappropriate method for calculating accurate patient-specific risks for trisomy 21 in the first trimester? Ultrasound Obstet Gynecol. 2003 Aug;22(2):142-8.
Spencer K, Nicolaides KH. Screening for trisomy 21 in twins using first trimester ultrasound and maternal serum biochemistry in a one-stop clinic: a review of three years experience. BJOG. 2003;110:27680.
Wright D, Kagan KO, Molina FS, Gazzoni A, Nicolaides KH. A mixture model of nuchal translucency thickness in screening for chromosomal defects. Ultrasound Obstet Gynecol. 2008 Apr;31(4):376-83.
Zoppi MA, Ibba RM, Floris M, Monni G. Fetal nuchal translucency screening in 12495 pregnancies in Sardinia. Ultrasound Obstet Gynecol. 2001 Dec;18(6):649-51.
The Fetal Medicine Foundation. The 11-13 weeks scan. www.fetalmedicine.com
Software Diagnosi on-line. www.med2000eco.it