SGA (Small for Gestational Age) - FGR (Fetal Growth Restriction) - IUGR (Intra Uterine Growth Restriction)
DEFINIZIONE
La definizione di piccolo per l'età gestazionale (SGA) e/o di restrizione della crescita fetale (FGR) si basa sul riscontro di una circonferenza addominale fetale (CA) e/o della stima del peso fetale (EFW) inferiore al 10° percentile in presenza di una corretta datazione della gravidanza ed in seguito ad osservazioni seriate della crescita in rapporto a curve di accrescimento di riferimento.
I Feti SGA (Small for Gestational Age) sono feti piccoli per fattori costituzionali cioè feti che hanno raggiunto il loro potenziale di crescita con una curva di accrescimento regolare ma con valori biometrici, in particolare la circonferenza addominale misurata ecograficamente, al disotto del 10° percentile e liquido amniotico e flussimetrie nella norma.
I Feti in cui si ha una vera restrizione della crescita in utero vengono definiti Feti FGR - Fetal Growth Restriction o IUGR - Intra Uterine Growth Restriction (Blencowe et al., 2019 ; Biks et al., 2021; S.J. Gordijn et al, 2016). I due termini sono utilizzati come sinonimi in letteratura ma noi useremo la definizione di FGR. Si intende per FGR un feto che ha manifestato in utero, in seguito ad osservazioni seriate della crescita in rapporto a curve di accrescimento di riferimento, un rallentamento o un arresto del potenziale di crescita con valori della circonferenza addominale e del peso stimato al di sotto del 10° percentile associato ad alterazioni del liquido amniotico e delle flussimetrie . Il termine FGR definisce quindi l'incapacità del feto di raggiungere il proprio potenziale di crescita a causa di un fattore patologico, più comunemente la disfunzione placentare. In questi feti piccoli si verifica una riduzione degli scambi ossigenativi-metabolici con conseguente rischio di esito potenzialmente sfavorevole. L'importanza di questa patologia è infatti legata più che al basso peso del feto alla elevata morbilità e mortalità fetale e perinatale che ne consegue. Il Feto FGR può avere anche impatti a lungo termine quali ritardo dello sviluppo neurologico nell'infanzia e un aumento dei rischi di malattie cardiovascolari, dislipidemia e diabete mellito nell'età adulta (de Boo H., et al.2006; Yael L., 2007).
La restrizione della crescita fetale in base a fattori prognostici e all'epoca gestazionale al momento della diagnosi può essere distinta in:
- FGR grave: è caratterizzata da EFW o AC al disotto del 3° percentile per l'epoca gestazionale. Questo gruppo rappresenta i feti a più alto rischio di morbilità e mortalità perinatale, indipendentemente dall'età gestazionale alla nascita.
- FGR ad esordio precoce (in assenza di anomalie congenite): si riferisce a Feti-FGR identificati prima della 32a settimana di gestazione (Consensus Delphi, 2016). Anche questa è considerata una forma grave in quanto comunemente associata a una funzione placentare anormale e a un precoce deterioramento delle funzioni fetali con conseguente parto pretermine. Le gravidanze con FGR ad esordio precoce sono a più alto rischio di preeclampsia e morbilità e mortalità perinatali (Savchev S. et al., 2014).
- FGR ad esordio tardivo (in assenza di anomalie congenite): si riferisce a Feti-FGR identificati dopo la 32a settimane di gestazione (Consensus Delphi, 2016). È associata a minori rischi di morbilità e mortalità perinatale, ma il neurosviluppo può essere compromesso (Eixarch E. et al., 2008).
EZIOLOGIA E FATTORI DI RISCHIO
Le cause della restrizione della crescita fetale possono essere materne, placentari e fetali (Severi FM et al., 2000; RCOG Guideline 2014). Esse possono influire sul potenziale di crescita fetale non necessariamente in modo indipendente, ad esempio la malattia vascolare materna può provocare alterazioni della placenta con conseguente insufficienza placentare.
Cause materne di FGR: Malattia vascolare materna, Ipertensione cronica, Preclampsia, Malattia cardiaca cianotica, Diabete, Emoglobinopatie, Malattie autoimmuni, Malnutrizione proteico-calorica, Fumo di sigaretta, Abuso di sostanze (cocaina, alcol, oppioidi), Malformazioni uterine, Trombofilie, Esposizione prolungata ad alta quota, Esposizione ai farmaci come alcuni farmaci antiepilettici e chemioterapici e il warfarin possono anche avere un impatto negativo sulla crescita fetale.
Cause placentari e/o del cordone ombelicale di FGR: L'insufficienza placentare è il fattore di rischio più comune per FGR, Inserzione velamentosa del cordone, Placenta circumvallata, Arteria Ombelicale Singola, Sindrome da trasfusionale feto fetale, Distacco di placenta, Placenta previa, Gravidanze Gemellari.
Cause fetali di FGR: Circa il 10% di Feti FGR presenta anomalie congenite (Mendez H., 1985) e dal 20 al 60% di bambini malformati sono SGA (Khoury MJ et al., 1988). In presenza di un feto con restrizione della crescita bisogna eseguire un esame ecografico dettagliato comprendente anche una ecocardiografia fetale in caso di dubbi sulla normalità del cuore e considerato il rischio di aneuploidie è indicato anche un esame citogenetico prenatale, in particolare Array-CGH. Quando i test genetici standard (come il cariotipo o l'Array-CGH) non hanno fornito risposte, specialmente in quadri clinici complessi o ritardi di crescita fetale associati a malformazioni si può richiedere il Sequenziamento dell'Esoma (WES - Whole Exome Sequencing) che analizza simultaneamente circa 20.000 geni.
Varie infezioni possono essere associate a FGR: citomegalovirus, toxoplasmosi, rosolia, varicella, herpes simplex, sifilide, virus zika, malaria (nelle zone endemiche). Il Covid 19 non sembra essere associato a una maggiore prevalenza di FGR (Dashraath P. et., 2020; Di Mascio D. et al., 2020). Una revisione sistematica e una meta-analisi di studi di qualità relativamente alta con gruppi di confronto appropriati hanno rilevato un aumento del rischio di preeclampsia, parto pretermine e natimortalità tra le persone in gravidanza con infezione da SARS-CoV-2 rispetto a quelle senza infezione da SARS-CoV-2. Tra le persone in gravidanza con COVID-19 la malattia grave è stata associata a preeclampsia, parto pretermine, diabete gestazionale e basso peso alla nascita rispetto a quelle con malattia lieve ( Wei S.Q. et al., 2021).
I Fattori di Rischio per lo sviluppo di FGR vengono distinti in maggiori e minori (RCOG Guideline).
I Fattori di rischio maggiori sono: età materna superiore a 40 anni, indice di massa corporea BMI superiore a 35, fumo di tabacco (> 10 sigarette/die), ipertensione cronica, precedente figlio SGA, padre o madre SGA, uso di cocaina, diabete complicato da vasculopatia, le nefropatie, la sindrome da anticorpi antifosfolipidi e la PAPP-A bassa o AFP elevata al test di screening.
I Fattori di rischio minori sono: età materna > 35 anni, BMI < 20, BMI 25-34.9, fumo di tabacco (<10 sigarette/die), pregressa preeclampsia.
FISIOPATOLOGIA e DIAGNOSI
Nella gestione dei feti con difetto di crescita la prima cosa da fare è la stima esatta dell'epoca gestazionale (WHO, 2016; Lees CC et al., 2020; Linee Guida SIEOG 2021).
Nel primo trimestre ( tra 7 e 13 sett. + 6 gg.) il parametro biometrico più attendibile per la stima dell'epoca gestazionale è la misurazione della lunghezza vertice-sacro (CRL) ( Kelly A Bennett et al. 2004; Aaron B Caughey et al. 2008 ). Se vi è una discrepanza di 7 giorni o più tra età gestazionale anamnestica (in base all'ultima mestruazione LMP) ed età gestazionale ecografica (basata sulla misura del CRL) bisogna ridatare l'epoca gestazionale (Linee Guida SIEOG). La ridatazione dell'epoca gestazionale quando vi è discordanza LMP/CRL si effettua se viene confermata la normale crescita dell'embrione su due esami ecografici a distanza di due settimane e si può formulare diagnosi di difetto di crescita solo quando nel successivo controllo ecografico il CRL corrisponde ad una età gestazionale di almeno 5-7 giorni in meno ( Evelyne M van Uitert, et al. 2013 ).
Nel II trimestre (da 14 + 0 a 27+ 6 settimane ), in genere a > 24 settimane di gestazione, l'epoca gestazionale e nello specifico il peso fetale stimato (EFW) viene calcolato col nomogramma della formula di Hadlock che utilizza le misurazioni ecografiche del diametro biparietale (BPD), circonferenza cranica (HC), circonferenza addominale (AC) e lunghezza del femore (FL) (Hadlock FP,1985; Hadlock FP,1990). Il range di normalità è quello compreso tra il 10° e il 90° percentile per una data epoca gestazionale. Allo stato attuale è ritenuto dai vari Autori che una circonferenza addominale inferiore al 10° percentile per l'epoca gestazionale è il parametro più sensibile per la individuazione dei feti SGA/FGR. Anche nel II trimestre, quando vi è discordanza tra LMP e biometria fetale, la ridatazione dell'epoca gestazionale deve essere effettuata dopo la conferma della normale crescita fetale su due esami ecografici a distanza di due settimane (Linee Guida SIEOG).
La prima sfida nel percorso diagnostico dei difetti di crescita fetali è differenziare i Feti SGA (feti piccoli ma sani) dai Feti FGR (feti piccoli con vera restrizione della crescita) il cui benessere è in pericolo a causa di un ambiente intrauterino ostile (Ananth CV et al., 2009; Lees CC et al., 2020). In linea generale alcune caratteristiche ecografiche possono esserci di aiuto nella diagnosi differenziale (Pilloni E et al., 2020): il Feto SGA ha un peso stimato tra il 5° e il 10° percentile e velocità di crescita della circonferenza addominale inferiore al 10° percentile, la curva di crescita è regolare, liquido amniotico regolare, Doppler-flussimetria delle arterie ombelicali ed uterine normali; il Feto FGR ha anch'esso una circonferenza addominale inferiore al 10° percentile (CA < 10° percentile) però la curva di crescita è in flessione, il liquido amniotico è ridotto, la Doppler-flussimetria delle arterie uterine e/o ombelicali è patologica.
Lo screening per la diagnosi di FGR prevede: 1) valutazione della crescita fetale (CA< 10° percentile - EFW < 10° percentile); 2) valutazione della quantità di liquido amniotico (Tasca massima: v.n. 2-8); 3) velocimetria Doppler di arterie uterine, arterie ombelicali, dotto venoso, arteria cerebrale media, aorta.
VALUTAZIONE DELLA CRESCITA FETALE - La valutazione della crescita fetale mediante l'uso di grafici consente di individuare quei feti che, deviando dalla curva, non raggiungono il loro potenziale di crescita. Normalmente si considera come ridotta velocità di crescita una deflessione di > 50° percentili della circonferenza addominale o del Peso Fetale Stimato (EFW) in esami ecografici consecutivi (Salomon LJ et al., 2019). Allo stato, a livello nazionale, non c'è chiarezza su quali curve di riferimento utilizzare (Linee Guida SIEOG 2021). A livello internazionale due gruppi di studio, Intergrowth-21 e WHO, hanno prodotto curve di riferimento con caratteristiche tali da poter essere utilizzate per la popolazione italiana ma lo studio nazionale multicentrico SIEOG ha dimostrato la loro imprecisione sull’uso a livello nazionale per cui è stato iniziato uno studio multicentrico nazionale denominato METRICS per la creazione di nuove curve di riferimento nazionali (Linee Guida SIEOG 2021).
VALUTAZIONE DELLA QUANTITA' DI LIQUIDO AMNIOTICO - La valutazione della quantità di liquido amniotico è di aiuto nella diagnosi di FGR. L'oligoidramnios è presumibilmente dovuto alla diminuzione della minzione fetale come conseguenza della ridistribuzione del flusso sanguigno dai reni verso organi più sensibili alla ipossiemia fetale come encefalo e cuore (Nicolaides KH et al., 1990; Veille JC et al., 1989). L'oligoidramnios è uno dei segni distintivi nella diagnosi di FGR ed è associato a un esito negativo quando l'EFW è <3 ° percentile per l'età gestazionale (Unterscheider J et al., 2013). Il polidramnios aumenta il rischio di aneuploidia (in particolare trisomia 18) e di sindromi genetiche (Walter A et al., 2022 ). In questi casi è consigliabile una consulenza genetica e l'Array-CGH (Borrell A. et al., 2018; Walter A et al., 2022).
VELOCIMETRIA DOPPLER - La velocimetria Doppler consente di valutare la funzione utero-placentare attraverso lo studio dei flussi nelle arterie uterine e ombelicali (C.C. Lees et al., ISUOG Practice Guidelines 2020 ) ed ha assunto un ruolo di primaria importanza per lo screening, la diagnosi, l'inquadramento prognostico e il monitoraggio oltre che della restrizione della crescita fetale anche di altre patologie della madre e del feto, tra le quali la patologia ipertensiva della gravidanza e l'anemia fetale (Linee Guida SIEOG, 2021).
Arterie Uterine e Arterie Ombelicali - La flussimetria delle arterie uterine ha validità prevalente tra la 20a e la 24a settimana di gestazione (RCOG Green-top Guideline No. 31). Nel primo trimestre di gravidanza quando le arterie spirali invadono il trofoblasto le arterie uterine passano da vasi ad alta resistenza a vasi a bassa resistenza con conseguente aumento del flusso sanguigno; ciò permette di stabilire un flusso a bassa resistenza adeguato alla perfusione della placenta. Se questo processo, che si completa intorno alla 20° settimana di gestazione, non si verifica normalmente la mancata trasformazione delle arterie uterine da vasi ad alta resistenza in vasi a bassa resistenza condiziona una inadeguata invasione trofoblastica delle arterie spirali con conseguente circolazione ad alta resistenza ed aumento del PI nelle arterie uterine. In presenza di un difetto di crescita la persistenza di un PI medio delle arterie uterine elevato (PI medio > 95° percentile per epoca gestazionale) è associata a insufficienza placentare ( Levytska K et al., 2017 ). La eventuale successiva normalizzazione degli indici di velocità di flusso risulterà ancora associata ad un aumentato rischio di neonato FGR (RCOG Green-top Guideline No. 31). L’aumento del PI nelle arterie uterine provoca un aumento delle resistenze nella vascolarizzazione placentare con conseguente riduzione della superficie placentare disponibile per lo scambio di ossigeno e nutrienti (Burton GJ et al., 2019) cui segue un progressivo aumento del PI nelle arterie ombelicali (UAPI). Nel Feto il primo cambiamento emodinamico è una riduzione del flusso venoso ombelicale con conseguente ridistribuzione del flusso venoso dal fegato al cuore fetale, le dimensioni del fegato diminuiscono causando un ritardo di crescita della circonferenza addominale fetale che è il primo segno biometrico di Feto FGR. L’insufficienza vascolare placentare, inizialmente caratterizzata dall’aumento del UAPI, può peggiorare passando, nella fase terminale, da un flusso diastolico ridotto in arteria ombelicale (PED) ad un flusso assente (AED) o invertito (RED). L'assenza e/o la inversione del flusso telediastolico (ARED: absent or reverse end-diastolic flow) nelle arterie ombelicali è un segno importante di compromissione sia fetale che placentare rappresentando un importante predittore di danno cerebrale o di morte neonatale nei feti FGR.
Arteria Cerebrale Media - Nelle fasi avanzate dell'insufficienza vascolare placentare il feto attua dei meccanismi di compenso all'ipossiemia con modifiche emodinamiche che interessano le arterie cerebrali, il dotto venoso e altri distretti vascolari. Il flusso nelle arterie cerebrali medie è un flusso ad alta resistenza con valori medi del PI di 1,5-1,6 ± 0,2 DS durante il terzo trimestre di gravidanza. Le arterie cerebrali, come risposta emodinamica all'ipossia fetale, vanno incontro a vasodilatazione (Brain Sparing Effect) che alla velocimetria Doppler si evidenzia come diminuzione dell'indice di pulsatilità neli'arteria cerebrale media (MCA-PI); tale meccanismo di compenso, che si realizza mediante il rilevamento della tensione di ossigeno nei vasi cerebrali, si innesca anche in altri letti vascolari come le arterie coronarie e le ghiandole surrenali (Richardson BS et al., 1998). In risposta all'ipossia il surrene fetale produce catecolamine che agiscono sulle arteriole precapillari provocando vasodilatazione dei distretti coronarico e cerebrale (Brain Sparing Effect) e vasocostrizione nei distretti cutaneo, splancnico e polmonare. L'ipoperfusione polmonare è responsabile della ridotta biosintesi di surfactant polmonare mentre l'ipoperfusione renale è la causa di oligoidramnios nei casi di ipossia fetale cronica.
Dotto Venoso - Il dotto venoso porta il sangue proveniente dalla placenta ricco di ossigeno e nutrienti verso l'atrio destro del cuore fetale. In caso di ipossia fetale la stimolazione dei chemocettori per la PO2 e la PCO2 presenti nell’istmo provoca la progressiva dilatazione del dotto venoso al fine di aumentare il flusso sanguigno verso il cuore (Kiserud T et al., 2006). Col perdurare dell'ipossia il cuore va incontro allo scompenso, aumenta la pressione in atrio destro per l'elevato postcarico cardiaco conseguente all’aumento della resistenza vascolare placentare e di conseguenza rallenta il passaggio di sangue nel dotto venoso con progressivo aumento della pulsatilità fino alla assenza ed inversione dell'onda "a" (Ferrazzi E et al., 2019). Nella pratica clinica ciò appare di notevole importanza: in caso di arteria ombelicale patologica (flusso diastolico diminuito PED, assente AED o invertito RED) una normale "onda a" nel dotto venoso conferma un quadro di compenso fetale, mentre una "onda a" assente o invertita conferma il sospetto di scompenso fetale.
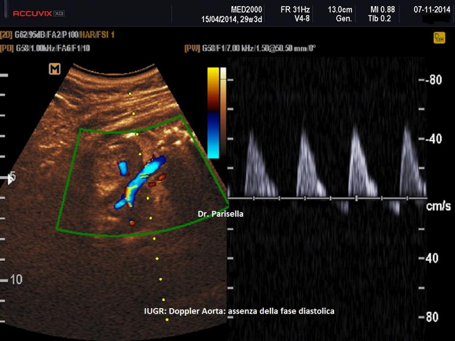
Aorta Fetale - L'indice di pulsatilità (PI) in aorta è anch’esso correlato alla prognosi fetale. Il flusso in aorta, dopo la 20a settimana di gestazione, è caratteristicamente un flusso ad alta resistenza con valori di P.I. attestati intorno a 2,0. Il flusso aortico viene studiato valutando la fase telediastolica EDF (end diastolic flow): in condizioni patologiche la EDF può scomparire (EDF 0) o essere negativa (EDF -). In presenza di una condizione di ipossia cronica con iposviluppo asimmetrico del feto si ha un aumento del P.I. fino ad arrivare all'assenza della fase diastolica (EDF 0) ed in seguito, col perdurare della condizione ipossica, si ha l'inversione del flusso telediastolico in aorta discendente (EDF -).
Nella diagnostica dei feti FGR ad esordio tardivo può essere utilizzato anche il rapporto cerebro/placentare (CPR) che viene calcolato dividendo gli indici di pulsatilità o resistenza dell'arteria cerebrale media per quelli dell'arteria ombelicale (CPR= MCAPI/UAPI) (Romero R. et al: 2015). Sono stati proposti diversi valori soglia di CPR per predire l'esito avverso (<1, <1,05, ?1,08, <5 ° percentile) (Bahado-Singh RO et al., 1999; Arbeille O et al., 1987; Vollgraff Heidweiller-Schreurs CA et al., 2018); un CPR basso indica una ridistribuzione del flusso sanguigno fetale (brain sparing). Nella FGR ad esordio tardivo, la riduzione del CPR può essere l'unico cambiamento Doppler presente (Oros D., et al. 2011). Studi più recenti sembrano però dimostrare che il CPR non aggiunge alcun valore predittivo per l'esito perinatale avverso rispetto ai flussi in arteria ombelicale (Conde-Agudelo A et al. 2018; Ranjit Akolekar et al., 2019). Allo stato secondo le Linee Guida ISUOG 2020 il suo utilizzo è proposto nella gestione di FGR ad esordio tardivo (GA > 32 sett.), in assenza di anomalie congenite.
E' stato osservato che alcuni Feti SGA con Doppler-flussimetria feto-placentare normale vanno comunque incontro a problemi placentari come invecchiamento e fenomeni di ipovascolarizzazione, alterato flusso nella vena ombelicale, alterata emodinamica materna, sofferenza fetale e maggiore incidenza di taglio cesareo rispetto ai Feti AGA (Paules C. et al., 2019; Parra-Saavedra M. et al., 2015; Zhu MY et al., 2016; Roberts LA et al., 2018; Cruz-Martínez R et al., 2011). In questi casi è stato ipotizzato l'esistenza di un sottogruppo di feti SGA che soffrono di una crescita "stentata" e si adattano ad un ambiente nutrizionale povero. Questo sottogruppo non è identificabile dagli strumenti diagnostici normalmente utilizzati (Lees CC et al., 2020) e sono necessarie ulteriori ricerche per comprendere meglio questa ipotesi.
Oltre la Velocimetria Doppler possono essere usati altri test per monitorare le gravidanze con Feti FGR (Satinder Kaur et al., 2008; Lalor JG et al., 2008; Dayal AK et al., 1999 ) come il NST (Non Stress Test) e il BPP (Punteggio del Profilo Biofisico Fetale).
L'utilizzo di Biomarcatori nello screening di feti FGR, allo stato, non pare dia risultati migliori rispetto all'imaging ecografico (ISUOG Practice Guidelines 2020). Tra i più studiati vi sono fattori placentari come la proteina plasmatica A (Zhong Y et al., 2015; Proctor LK et al., 2009) e il rapporto sFlt-1/PIGF (tirosin-chinasi-1/fattore di crescita placentare) (Zeisler H et al., 2016). Il rapporto sFlt-1/PIGF è stato proposto come fattore predittivo per escludere la preeclampsia nelle donne in cui questa condizione è stata sospettata clinicamente, mentre altri studi suggeriscono che l'uso del rapporto sFlt-1/PIGF potrebbe essere utile nella gestione e nella differenziazione tra SGA e FGR (Gaccioli F et al., 2018; Fabjan-Vodusek V et al., 2019)
Velicimetria Doppler/Doppler-Flussimetria: STATO DELL'ARTE (Linee Guida SIEOG 2021)
La continua evoluzione delle conoscenze fisiopatologiche e la sempre maggiore applicazione della velocimetria Doppler o Doppler-flussimetria (DF) nello studio della restrizione della crescita fetale sono oggetto di confronto scientifico e le raccomandazioni che ne conseguono sul loro utilizzo sono anch'esse in rapida evoluzione. Le Linee Guida SIEOG 2021 nella loro stesura offrono spunti di riflessione sull’utilizzo della velocimetria Doppler nel management dei ritardi di crescita fetali.
Arterie Ombelicali (UA) La velocimetria Doppler dell'arteria ombelicale non è raccomandata per lo screening della popolazione generale (SOGC, 2012; Alfirevic et al., 2015) mentre è raccomandata nella popolazione ad alto rischio per l'identificazione dei ritardi di crescita e per il monitoraggio delle gravidanze complicate da ritardo di crescita (FIGO, 2021; RCOG, 2014; NICE, 2019). In un recentissimo studio (Valensise H, et al.; 2022) effettuato su una popolazione con sospetta restrizione della crescita fetale, sono state messe a confronto l'emodinamica materna e fetale. Nei feti con restrizione della crescita è stata riscontrata una correlazione tra emodinamica materna e fetale in particolare il profilo emodinamico materno con elevata resistenza vascolare sistemica, bassa gittata cardiaca, ridotto inotropismo e circolazione ipodinamica è stato correlato con un ridotto flusso della vena ombelicale e un aumento dell'indice di pulsatilità dell'arteria ombelicale. Madre, Placenta e Feto dovrebbero essere considerati come una singola unità cuore-fetale-placentare.
Le Linee Guida del RCOG, SOGC e CNOGF raccomandano l'esecuzione della velocimetria Doppler dell'arteria ombelicale quale modalità primaria di monitoraggio delle gravidanze complicate da ritardo di crescita intrauterino in quanto in grado di ridurre la morbilità perinatale e anche al fine di valutare la necessità di anticipazione del parto. Secondo le Linee Guida SOGC e del CNOGF le anomalie tardive della velocimetria Doppler ombelicale (flusso telediastolico assente, AEDF, oppure flusso telediastolico invertito, REDF) rappresentano una indicazione all’espletamento del parto in caso di epoca gestazionale superiore alle 34 settimane. Secondo le Linee Guida RCOG il parto non deve essere espletato oltre la 37a settimana in caso di anomalie della velocimetria Doppler dell'arteria ombelicale.
Arterie Uterine (UtA) La velocimetria Doppler delle arterie uterine nel I trimestre può essere utilizzata insieme ai marcatori biochimici nell’ambito di un test multiparametrico per lo screening della patologia ipertensiva della gravidanza e del ritardo di crescita intrauterino nella popolazione generale e nella popolazione ad alto rischio. In questo studio del 2017 sullo screening della preeclampsia e ritardo di crescita nel I trimestre la velocimetria Doppler delle arterie uterine associata al dosaggio sierico della PAPP-A e del fattore di crescita placentare (PlGF) ha dimostrato una sensibilità superiore al 75% con un 10% di falsi positivi (Rolnik, 2017). Tale test presenta una sensibilità e una specificità maggiore rispetto al dato anamnestico e potrebbe essere di aiuto nell'identificare la migliore strategia preventiva. La velocimetria Doppler delle arterie uterine nel II trimestre è raccomandata per la predizione della preeclampsia e del ritardo di crescita intrauterino nelle pazienti ad ALTO rischio (Velauthar et al., 2019; Townsend et al., 2019). In queste pazienti (ALTO RISCHIO: Anamnesi di pregressa patologia ipertensiva della gravidanza, malattie autoimmuni quali lupus eritematoso sistemico (LES) e sindrome linfoproliferativa autoimmune (ALPS), precedente riscontro di neonato piccolo per epoca gestazionale o sospetto rallentamento della crescita fetale) la velocimetria Doppler consente di attuare un management clinico di stretta sorveglianza clinica finalizzata al miglioramento degli esiti clinici (Linee Guida SIEOG 2021).
La velocimetria Doppler delle arterie uterine eseguita tra le 20 e le 24 settimane ha una sensibilità superiore al 60% per l'identificazione della preeclampsia ed in particolare delle pazienti ad alto rischio di preeclampsia ad esordio precoce (Magee et al., 2014; SOGC, 2012).
Uno studio su gestanti a basso rischio (Myatt et al., 2012) ha dimostrato che le anomalie della velocimetria Doppler delle arterie uterine sono significativamente più frequenti nelle pazienti con preeclampsia con caratteristiche di severità (ipertensione severa >160/110 mmHg, proteinuria >5 g/24 ore, oliguria, edema polmonare, piastrinopenia, sindrome HELLP ed eclampsia). Un altro studio ha dimostrato che il riscontro di un indice di pulsatilità anomalo associato alla presenza di notch bilaterale rappresenta il più importante parametro predittivo di preeclampsia nelle pazienti ad alto rischio ma ha una minore accuratezza nell'identificazione delle pazienti a rischio che svilupperanno ritardo di crescita intrauterino (Cnossen et al., 2008). Un altro studio ha dimostrato un rischio di morte endouterina tre volte superiore nelle pazienti con anomalie della velocimetria Doppler delle arterie uterine nel II trimestre (Allen et al., 2016).
La valutazione della velocimetria Doppler delle arterie uterine nel III trimestre può essere eseguita nelle pazienti con ritardo di crescita intrauterino e con patologia ipertensiva della gravidanza.
Per le gravidanze con ritardo di crescita intrauterino la velocimetria Doppler delle arterie uterine ha una accuratezza limitata nella predizione degli esiti perinatali avversi (RCOG, 2014; Martinez-Portilla et al., 2020)
Per le gravidanze complicate da patologia ipertensiva uno studio ha dimostrato un aumento del 70% del rischio di esiti perinatali avversi e del 60% di esiti materni avversi (Orabona et al., 2015). Altri studi hanno dimostrato valori di PI delle arterie uterine significativamente maggiori nelle pazienti sintomatiche e nelle pazienti con complicanze quali emorragia antepartum e postpartum, HELLP, edema polmonare acuto e convulsioni postpartum (Maged et al., 2015) e valori di PI medio delle arterie uterine più elevati nelle pazienti con HDP pretermine rispetto alle pazienti con HDP a termine e ai controlli (Perry et al., 2019).
Arteria cerebrale media (MCA) La velocimetria Doppler dell'arteria cerebrale media è raccomandata nelle gravidanze complicate da ritardo di crescita intrauterino tardivo. Le Linee Guida FIGO 2021 raccomandano l'esecuzione della velocimetria Doppler dell'arteria cerebrale media nei feti a rischio di ritardo di crescita intrauterino e nel monitoraggio dei feti con ritardo di crescita intrauterino. Le Linee Guida RCOG 2013 raccomandano l'espletamento del parto non oltre le 37 settimane gestazionali in gravidanze complicate da ritardo di crescita intrauterino che presentano anomalie della velocimetria Doppler dell'arteria cerebrale media.
In uno studio del 2018 le anomalie della velocimetria Doppler dell'arteria cerebrale media hanno dimostrato una sensibilità variabile tra il 13% ed il 100% ed una specificità compresa tra il 67% ed il 97% per l'identificazione di esiti perinatali avversi in feti con ritardo di crescita intrauterino (Vollgraff Heidweiller-Schreurs et al., 2018). Un altro studio del 2018 ha dimostrato una sensibilità del 93% ed una specificità del 76% del rapporto cerebroplacentare (RCP) nell'identificazione della morte perinatale, la cui probabilità si riduce dal 2% allo 0,2% in presenza di un rapporto cerebroplacentare nella norma (Conde-Agudelo et al., 2018). Una revisione sistematica della letteratura del 2015 ha dimostrato come le anomalie della velocimetria Doppler dell'arteria cerebrale media e del rapporto cerebro-placentare in feti con sospetto ritardo di crescita intrauterino in prossimità del termine si associano ad un aumento del rischio di anomalie motorie e posturali e ad anomalie dello sviluppo psicomotorio a 1 anno di età (Meher et al., 2015).
Dotto Venoso (DV) La velocimetria Doppler del dotto venoso è raccomandata nelle gravidanze complicate da ritardo di crescita intrauterino <32 settimane (Linee Guida RCOG 2013, SOGC 2012, FIGO, 2021). Le Linee Guida FIGO 2021 raccomandano di considerare l'espletamento del parto mediante taglio cesareo in feti con anomalie della velocimetria Doppler del dotto venoso. Le Linee Guida RCOG raccomandano che la velocimetria Doppler del dotto venoso venga utilizzata per il monitoraggio delle gravidanze complicate da ritardo di crescita intrauterino <32 settimane, con indicazione all'espletamento del parto in caso di riscontro di anomalie tardive (azzeramento o inversione dell'onda A).
MANAGEMENT
Monitoraggio e Timing del parto nei feti FGR cambiano a seconda dell’epoca gestazionale distinguendosi tre fasce di età gestazionale: fino a 26 settimane, da 26 a 32 settimane e oltre le 32 settimane (RCOG, 2014; Pilloni E et al., 2020). La valutazione ecografica si basa su: biometria, quantità di liquido amniotico, flussimetria Doppler delle arterie ombelicali, del dotto venoso di Aranzio, dell'aorta fetale e delle arterie cerebrali medie.
-Monitoraggio < 26 settimane: Oltre ai rilievi ecografici suddetti sono richiesti tutta una serie di accertamenti quali l'ecocardiografia fetale, una consulenza genetica, diagnosi prenatale invasiva (amniocentesi con Array-CGH), esami infettivologici quali ricerca di virus CMV, adenovirus, Coxsachie e Parvovurus-B19. In caso di anormalità di uno degli accertamenti il caso va rivalutato attentamente e se ci sono i presupposti può essere presa in considerazione anche l'interruzione della gravidanza ai sensi della legge 194/78. Se tutti gli accertamenti risultano normali si programma una rivalutazione dopo 2-3 settimane a seconda dell'epoca gestazionale.
-Monitoraggio > 26 settimane < 32 : In caso di Doppler-flussimetria dell'arteria ombelicale nella norma i controlli vanno effettuati ogni 2 settimane. In caso di Doppler-flussimetria dell’arteria ombelicale patologica con normale presenza di flusso in diastole (PED) i controlli devono essere settimanali con valutazione del liquido amniotico, flussimetria-Doppler e monitoraggio cardiotocografico, mentre la biometria va effettuata ogni 2 settimane. In caso di Doppler-flussimetria dell'arteria ombelicale patologica con alterazione del flusso in diastole (AED/RED) va effettuata anche la valutazione Doppler-flussimetrica del dotto venoso con attenzione all’onda a: se questa è assente o reverse è indicato l'espletamento del parto. I controlli vanno intensificati con valutazione del liquido amniotico e della Doppler-flussimetria ogni 2 giorni e monitoraggio cardiotocografico computerizzato fino anche a 2 volte al giorno.
Va effettuata profilassi con 12 mg di betametasone i.m. in due dosi somministrate a distanza di 24 ore e in caso di possibilità di espletamento del parto entro 12 ore è opportuno attuare anche la neuroprofilassi fetale con Magnesio solfato e.v. Per il timing e la modalità del parto a quest'epoca gestazionale in caso di Doppler-flussimetria ombelicale patologica (PED, AED, RED), si procede all'espletamento del parto prima delle 32 settimane se CTGc (computerizzata) patologica o se CTGc normale ma la flussimetria Doppler del dotto venoso è caratterizzata da assenza o reverse dell'onda a. Il parto va effettuato mediante taglio cesareo data l'epoca gestazionale precoce e le scarse riserve di questi feti (Ting JY et al., 2018).
Da precisare che una volta diagnosticata una FGR precoce la gravidanza deve essere monitorata e gestita in modo multidisciplinare da parte di esperti in neonatologia e medicina materno fetale come raccomandato dallo studio TRUFFLE (Trial of Randomized Umbilical and Fetal Flow in Europe) (Bilardo CM et al. 2017).
Monitoraggio > 32 settimane: Oltre le 32 settimane le modalità di sorveglianza sono le stesse, cambiano le modalità ed il timing del parto: in caso di AED/RED dell'arteria ombelicale confermati in almeno due controlli successivi a distanza di 12-24 ore si procede ad espletamento del parto anche se gli altri parametri e la Cardiotocografia sono normali. In caso di doppler normale o patologico (PED) con liquido amniotico normale, curva di crescita normale e cardiotocografia normale, l'espletamento del parto non è indicato prima di 37 settimane. Può essere effettuata induzione di travaglio e va effettuato monitoraggio cardiotocografico in continua in travaglio. In caso di appiattimento della curva di crescita associata a riduzione del liquido amniotico o a tracciato cardiotocografico non rassicurante o in caso di arresto di crescita deve essere espletato il parto. In particolare le linee guida della RCOG indicano come raccomandazione assoluta l'espletamento del parto mediante taglio cesareo in caso di arterie ombelicali patologiche AED e RED; nelle altre condizioni le modalità del parto devono essere valutate prendendo in considerazione l'età gestazionale, la gravità delle condizioni fetali ed il reperto ostetrico.
La profilassi RDS è indicata fino a 35 settimane di epoca gestazionale ed in caso di taglio cesareo fino a 38 settimane + 6 giorni. In caso di preeclampsia concomitante l'espletamento del parto deve tenere conto anche dell'evoluzione della patologia materna bilanciando i rischi per il feto legati alla nascita pretermine ed i rischi per la donna nel proseguire la gravidanza.
Counselling
La definizione di piccolo per l'età gestazionale (SGA) e/o di restrizione della crescita fetale (FGR) si basa sul riscontro di una circonferenza addominale fetale (CA) e/o della stima del peso fetale (EFW) inferiore al 10° percentile in presenza di una corretta datazione della gravidanza ed in seguito ad osservazioni seriate della crescita in rapporto a curve di accrescimento di riferimento.
I Feti SGA (Small for Gestational Age) sono piccoli per fattori costituzionali e presentano un difetto di crescita con valori biometrici (CA) e/o peso (EFW) al disotto del 10° percentile con liquido amniotico e flussimetrie nella norma.
I Feti FGR (Fetal Growth Restriction) sono feti nei quali si ha una vera restrizione della crescita e presentano un difetto di crescita con valori biometrici (CA) e/o peso (EFW) al disotto del 10° percentile associato ad alterazioni del liquido amniotico e delle flussimetrie materno-fetali.
La diagnosi dei difetti di crescita fetale è ecografica e si basa sulla misurazione della circonferenza addominale e/o sulla stima del peso fetale, sulla valutazione del liquido amniotico e sulla valutazione dei parametri flussimetrici materno-fetali (PI medio nelle arterie uterine, PI in arteria ombelicale ed arteria cerebrale media e il loro rapporto, flusso nel dotto venoso, flusso in aorta). Se il difetto di crescita si associa ad alterazioni del liquido amniotico e/o dei flussi materno-fetali ci si trova di fronte ad un Feto FGR, se liquido amniotico e/o flussi materno-fetali sono normali si tratta di un Feto SGA. I difetti di crescita possono essere costituzionali (classico SGA) o meno frequentemente essere l’espressione di una noxa patogena: insufficienza placentare, infezioni, malformazioni, anomalie cromosomiche. La differenza principale tra un feto SGA e un feto FGR è il rischio di outcome perinatale avverso, maggiore nei feti FGR. Infatti l’importanza di questa patologia è legata più che al basso peso del feto alla elevata morbilità e mortalità fetale e perinatale che ne consegue. Il Feto FGR può avere anche impatti a lungo termine quali ritardo dello sviluppo neurologico nell'infanzia e un aumento dei rischi di malattie cardiovascolari, dislipidemia e diabete mellito nell'età adulta (de Boo H., et al.2006; Yael L., 2007). Nei feti SGA è comunque indicata una maggiore sorveglianza fetale controllando nel tempo la crescita ed escludere una eventuale insufficienza placentare.
Management
Per approfondimenti vedasi articolo completo su www.med2000eco.it
Bibliografia
Linee Guida SIEOG 2021
Linee Guida FIGO 2021 Federazione Internazionale di Ginecologia e Ostetricia
Linee Guida RCOG 2014 Royal College of Obstetricians and Gynaecologists
Linee Guida NICE 2019 National Institute for Health and Care Excellence
Linee Guida CNOGF National College of French Gynecologists and Obstetricians
Linee Guida SOGC 2012 Society of Obstetricians and Gynaecologists of Canada
ISUOG Practice Guidelines: diagnosis and management of small or gestational age fetus and fetal growth restriction. Ultrasound Obstet Gynecol 2020.
ISUOg Practice Guidelines: use of Doppler ultrasonography in obstetrics. Ultrasound Obstet Gynecol 2013.
ISUOG Practice Guidelines: ultrasound assessment of fetal biometry and growth. Ultrasound Obstet Gynecol 2019.
RCOG Green-top guideline: the investigation and management of the small-for-gestational-age fetus. Royal College of Obstetricians and Gynaecologists No. 31 2nd Edition | February 2013 | Minor revisions – January 2014
Aaron B Caughey, James M Nicholson, A Eugene Washington. First- vs second-trimester ultrasound: the effect on pregnancy dating and perinatal outcomes. Am J Obstet Gynecol . 2008 Jun;198(6):703.e1-5; discussion 703.e5-6.
Alfirevic, Z., Stampalija T., Medley, N., (2015). Fetal and umbilical Doppler ultrasound in normal pregnancy. Cochrane Database Syst Rev. 15(4).
Allen, R.E., Morlando, M., Thilaganathan, B. et al., (2016). Predictive accuracy of second-trimester uterine artery Doppler indices for stillbirth: a systematic review and meta-analysis. Ultrasound Obstet Gynecol. 47(1), 22-7
Ananth CV, Vintzileos AM. Distinguishing pathological from constitutional small for gestational age births in population-based studies. Early Hum Dev. 2009 Oct;85(10):653-8.
Arbeille O, Roncin A, Berson M, Patat F, Pourcelot L. Exploration of the fetal cerebral blood flow by duplex Doppler--linear array system in normal and pathological pregnancies. Ultrasound Med Biol . 1987 Jun;13(6):329-37.
Bahado-Singh RO, Kovanci, E, Jeffres A, Oz U, Deren O, Copel J, Mari JG. The Doppler cerebroplacental ratio and perinatal outcome in intrauterine growth restriction. Am J Obstet Gynecol . 1999 Mar;180(3 Pt 1):750-6.
Barker DJ, Osmond C, Forsén TJ, Kajantie E, Eriksson JG. Trajectories of growth among children who have coronary events as adults. N Engl J Med 2005; 353: 1802– 1809.
Bhide A, Acharya G, Bilardo CM, Brezinka C, Cafici D, Hernandez-Andrade E, Kalache K, Kingdom J, Kiserud T, Lee W, Lees C, Leung KY, Malinger G, Mari G, Prefumo F, Sepulveda W and Trudinger B. ISUOg Practice Guidelines: use of Doppler ultrasonography in obstetrics. Ultrasound Obstet Gynecol 2013; 41: 233-239
Biks G. A., Blencowe H., Hardy V. P., Geremew B. M., Angaw D. A., Wagnew A., et al. (2021). Birthweight data completeness and quality in population-based surveys: EN-INDEPTH study. Popul. Health Metr. 19 (1), 17.
Bilardo CM, Hecher K, Visser GHA, Papageorghiou AT, Marlow N, Thilaganathan B, Van Wassenaer-Leemhuis A, Todros T, Marsal K, Frusca T, Arabin B, Brezinka C, Derks JB, Diemert A, Duvekot JJ, Ferrazzi E, Ganzevoort W, Martinelli P, Ostermayer E, Schlembach D, Valensise H, Thornton J, Wolf H, Lees C; TRUFFLE Group. Severe fetal growth restriction at 26-32?weeks: key messages from the TRUFFLE study. Ultrasound Obstet Gynecol 2017; 50: 285– 290.
Blencowe H., Krasevec J., de Onis M., Black R. E., An X., Stevens G. A., et al. (2019). National, regional, and worldwide estimates of low birthweight in 2015, with trends from 2000: A systematic analysis. Lancet. Glob. Health 7 (7), e849–e860
Borrell A, Maribel Grande, Montse Pauta, Laia Rodriguez-Revenga, Francesc Figueras. Chromosomal Microarray Analysis in Fetuses with Growth Restriction and Normal Karyotype: A Systematic Review and Meta-Analysis. Review Fetal Diagn Ther . 2018;44(1):1-9.
Burton GJ, Woods AW, Jauniaux E, Kingdom JC. Rheological and physiological consequences of conversion of the maternal spiral arteries for uteroplacental blood flow during human pregnancy. Placenta 2009; 30: 473– 482.
CNOGF - Vayssière, C., Sentilhes, L., Ego, A. et al., (2015). Fetal growth restriction and intra-uterine growth restriction: guidelines for clinical practice from the French College of Gynaecologists and Obstetricians. Eur J Obstet Gynecol Reprod Biol. 193, 10-8.
Cnossen, J.S., Morris, R.K., ter Riet, G. et al., (2008). Use of uterine artery Doppler ultrasonography to predict pre-eclampsia and intrauterine growth restriction: a systematic review and bivariable meta-analysis. CMAJ. Mar 11 178(6), 701-11.
Conde-Agudelo A, J Villar, S H Kennedy, A T Papageorghiou. Predictive accuracy of cerebroplacental ratio for adverse perinatal and neurodevelopmental outcomes in suspected fetal growth restriction: systematic review and meta-analysis. Ultrasound Obstet Gynecol. 2018 Oct;52(4):430-441.
Cruz-Martínez R, Figueras F, Hernandez-Andrade E, Oros D, Gratacos E. Fetal brain Doppler to predict cesarean delivery for nonreassuring fetal status in term small-for-gestational-age fetuses. Obstet Gynecol 2011; 117: 618– 626.
Dayal AK, F A Manning, D J Berck, G M Mussalli, C Avila, C R Harman, S Menticoglou. Fetal death after normal biophysical profile score: An eighteen-year experience. Am J Obstet Gynecol. 1999 Nov;181(5 Pt 1):1231-6.
Dashraath P, Wong JLJ, Lim MXK, Lim LM, Li S, Biswas A, Choolani M, Mattar C, Su LL. Coronavirus disease 2019 (COVID-19) pandemic and pregnancy. Am J Obstet Gynecol 2020 Jun;222(6):521-531
de Boo H., et al.The developmental origins of adult disease (Barker) hypothesis. Aust N Z J Obstet Gynaecol . 2006 Feb;46(1):4-14
Di Mascio D, Khalil A, Saccone G, Rizzo G, Buca D, Liberati M, Vecchiet J, Nappi L, Scambia G, Berghella V, D'Antonio F. Outcome of coronavirus spectrum infections (SARS, MERS, COVID-19) during pregnancy: a systematic review and meta-analysis. Am J Obstet Gynecol MFM . 2020 May;2(2):100107.
Eixarch E, Meler E, Iraola A, Illa M, Crispi F, Hernandez-Andrade E, Gratacos E, Figueras F. Neurodevelopmental outcome in 2-year-old infants who were small-for-gestational age term fetuses with cerebral blood flow redistribution. Ultrasound Obstet Gynecol. 2008 Dec;32(7):894-9.
Evelyne M van Uitert, Niek Exalto, Graham J Burton, Sten P Willemsen, Anton H J Koning, Paul H C Eilers, Joop S E Laven, Eric A P Steegers, Régine P M Steegers-Theunissen. Human Embryonic growth trajectories and associations with fetal growth and birthweight. Hum Reprod . 2013 Jul;28(7):1753-61.
Fabjan-Vodusek V, Kumer K, Osredkar J, Verdenik I, Gersak K, Premru-Srsen T. Correlation between uterine artery Doppler and the sFlt-1/PlGF ratio in different phenotypes of placental dysfunction. Hypertens Pregnancy 2019; 38: 32– 40.
Ferrazzi E, Lees C, Acharya G. The controversial role of the ductus venosus in hypoxic human fetuses. Acta Obstet Gynecol Scand 2019; 98: 823– 829.
Francis JH, Permezel M, Davey MA. Perinatal mortality by birthweight centile. Aust N Z J Obstet Gynecol 2014; 54: 354– 359.
Gaccioli F, Sovio U, Cook E, Hund M, Charnock-Jones DS, Smith GCS. Screening for fetal growth restriction using ultrasound and the sFLT1/PlGF ratio in nulliparous women: a prospective cohort study. Lancet Child Adolesc Health 2018; 2: 569– 581.
Gardosi J, Chang A, Kalyan B, et al. Customised antenatal growth charts. Lancet 1992; 339:283.
Gardosi J. New definition of small for gestational age based on fetal growth potential. Horm Res. 2006. 65 Suppl 3:15-8.
Ghirri P., Bartoli A. IL NEONATO PICCOLO PER L’ETA’ GESTAZIONALE (SGA) U.O. Neonatologia e Terapia Intensiva Neonatale e Sezione di Endocrinologia e Dismorfologia Azienda Ospedaliero-Universitaria Pisana Rivista Italiana di Medicina dell’Adolescenza Vol.8 – n. 3- (Suppl. 1) 2010
Gordijn SJ, I M Beune , B Thilaganathan 2 A Papageorghiou , A A Baschat , P N Baker , R M Silver , K Wynia , W Ganzevoort 7 Consensus definition of fetal growth restriction: a Delphi procedure. Ultrasound Obstet Gynecol 2016
Groom KM, Poppe KK, North RA, McCowan LM. Small-for-gestational-age infants classified by customized or population birthweight centiles: impact of gestational age at delivery. Am J Obstet Gynecol. 2007 Sep. 197(3):239.e1-5.
Hadlock FP. Sonographic estimation of fetal age and weight. Radiol Clin North Am. 1990 Jan;28(1):39-50.
Hadlock FP, Harrist RB, Sharman RS, Deter RL, Park SK. Estimation of fetal weight with the use of head, body, and femur measurements--a prospective study. Am J Obstet Gynecol. 1985 Feb 1;151(3):333-7.
Denise J. Jamieson, MD, MPHa,? and Sonja A. Rasmussen, MD, MSb,c,d An update on COVID-19 and pregnancy. Am J Obstet Gynecol. 2022 Feb; 226(2): 177–186. Published online 2021 Sep 14.
Kelly A Bennett , Joan M G Crane, Patrick O'shea, Joanne Lacelle, Donna Hutchens, Joshua A Copel. First trimester ultrasound screening is effective in reducing postterm labor induction rates: a randomized controlled trial. Am J Obstet Gynecol . 2004 Apr;190(4):1077-81
Khalil A, I Beune3, K Hecher, K Wynia, W Ganzevoort, K Reed, L Lewi, D Oepkes, E Gratacos, B Thilaganathan, S J Gordijn. Consensus definition and essential reporting parameters of selective fetal growth restriction in twin pregnancy: a Delphi procedure. Ultrasound ObstetGynecol. 2018 Jan 24
Khoury MJ, Erickson JD, Cordero JF, McCarthy BJ. Congenital malformations and intrauterine growth retardation: a population study. Pediatrics 1988 Jul;82(1):83-90.
Kiserud T, Kessler J, Ebbing C, Rasmussen S. Ductus venosus shunting in growth-restricted fetuses and the effect of umbilical circulatory compromise. Ultrasound Obstet Gynecol 2006; 28: 143– 149.
Yael L. Neurodevelopmental outcome of children with intrauterine growth retardation: a longitudinal, 10-year prospective study. Journal of child neurology. , 2007, Vol.22(5), p.580-7
Lalor JG, B Fawole, Z Alfirevic, D Devane. Biophysical profile for fetal assessment in high risk pregnancies. Cochrane Database Syst Rev . 2008 Jan 23;2008(1):CD000038.
Lees C.C., et al.The diagnosis and management of suspected fetal growth restriction: an evidence-based approach. American Journal of Obstetrics and Gynecology Volume 226, Issue 3, March 2022, Pages 366-378
Lees C.C., T. Stampalija,A. A. Baschat,F. da Silva Costa,E. Ferrazzi,F. Figueras,K. Hecher,J. Kingdom,L. C. Poon,L. J. Salomon,J. Lees C.C., T. Stampalija,A. A. Baschat,F. da Silva Costa,E. Ferrazzi,F. Figueras,K. Hecher,J. Kingdom,L. C. Poon,L. J. Salomon,J. Unterscheider ISUOG Practice Guidelines: diagnosis and management of small or gestational age fetus and fetal growth restriction. Ultrasound Obstet Gynecol 2020; 56: 298–312.
Levytska K, Higgins M, Keating S, Melamed N, Walker M, Sebire NJ, Kingdom JC. Placental Pathology in Relation to Uterine Artery Doppler Findings in Pregnancies with Severe Intrauterine Growth Restriction and Abnormal Umbilical Artery Doppler Changes. Am J Perinatol 2017; 34: 451– 457.
Madazli R. Prognostic factors for survival of growth-restricted fetuses with absent end-diastolic velocity in the umbilical artery. J Perinatol. 2002 Jun. 22(4):286-90.
Maged, A.M., El Nassery, N., Fouad, M. et al., (2015). Third-trimester uterine artery Doppler measurement and maternal postpartum outcome among patients with severe pre-eclampsia. Int J Gynaecol Obstet. 131(1), 49-53.
Martinez-Portilla, R.J., Caradeux, J., Meler, E. et al., (2020). Third-trimester uterine artery Doppler for prediction of adverse outcome in late small-for-gestational-age fetuses: systematic review and meta-analysis. Ultrasound Obstet Gynecol. 55(5), 575-585.
Martins JG, Biggio JR, Abuhamad A. Diagnosis and Management of Fetal Growth Restriction. Am J Obstet Gynecol. 2 020 May 12.
Meher, S., Hernandez-Andrade, E., Basheer, S.N. et al., (2015). Impact of cerebral redistribution on neurodevelopmental outcome in small-for-gestational-age or growth-restricted babies: a systematic review. Ultrasound Obstet Gynecol. 46(4), 398-404.
Mendez H. Introduction to the study of pre- and postnatal growth in humans: a review. Am J Med Genet 1985 Jan;20(1):63-85
Miller SL, Huppi PS, Mallard C. The consequences of fetal growth restriction on brain structure and neurodevelopmental outcome. J Physiol 2016; 594: 807– 823.
Myatt, L., Clifton, R.G., Roberts, J.M. et al.The utility of uterine artery Doppler velocimetry in prediction of preeclampsia in a low-risk population. Obstet Gynecol. 2012; 120(4), 815-22.
NICE - National Institute for Health and Care Excellence, (2019). Hypertension in pregnancy: diagnosis and management. NICE guideline [NG133]. 25 June.
Nicolaides KH, Peters MT, Vyas S, Rabinowitz R, Rosen DJ, Campbell S. Relation of rate of urine production to oxygen tension in small-for-gestational-age fetuses. Am J Obstet Gynecol . 1990 Feb;162(2):387-91.
Papageorghiou AT, S H Kennedy, L J Salomon, E O Ohuma, L Cheikh Ismail, F C Barros, A Lambert, M Carvalho, Y A Jaffer, E Bertino, M G Gravett, D G Altman, M Purwar, J A Noble, R Pang, C G Victora, Z A Bhutta, J Villar, International Fetal and Newborn Growth Consortium for the 21st Century (INTERGROWTH-21st). International standards for early fetal size and pregnancy dating based on ultrasound measurement of crown-rump length in the first trimester of pregnancy. Clinical Trial Ultrasound Obstet Gynecol . 2014 Dec;44(6):641-8.
Parra-Saavedra M, Simeone S, Triunfo S, Crovetto F, Botet F, Nadal A, Gratacos E, Figueras F. Correlation between histological signs of placental underperfusion and perinatal morbidity in late-onset small-for-gestational-age fetuses. Ultrasound Obstet Gynecol 2015; 45: 149– 155.
Paules C, Dantas AP, Miranda J, Crovetto F, Eixarch E, Rodriguez-Sureda V, Dominguez C, Casu G, Rovira C, Nadal A, Crispi F, Gratacós E. Premature placental aging in term small-for-gestational-age and growth-restricted fetuses. Ultrasound Obstet Gynecol 2019; 53: 615– 622.
Paules C. et al., 2019; Parra-Saavedra M. et al., 2015; Zhu MY et al., 2016; Roberts LA et al., 2018; Cruz-Martínez R et al., 2011).
Perry, H., Lehmann, H., Mantovani, E. et al., (2019). Correlation between central and uterine hemodynamics in hypertensive disorders of pregnancy. Ultrasound Obstet Gynecol. 54(1), 58-63
Pilloni E, Bastonero S, Gullino E, Sciarrone A, Viora E: Iposviluppo fetale: diagnosi e monitoraggio Gyneco AOGOI 2020; 1: 21-23.
Proctor LK, Toal M, Keating S, Chitayat D, Okun N, Windrim RC, Smith GC, Kingdom JC. Placental size and the prediction of severe early-onset intrauterine growth restriction in women with low pregnancy-associated plasma protein-A. Ultrasound Obstet Gynecol 2009; 34: 274– 282.
Ranjit Akolekar, Anca Ciobanu, Emilie Zingler, Argyro Syngelaki, Kypros H Nicolaides. Routine assessment of cerebroplacental ratio at 35-37 weeks' gestation in the prediction of adverse perinatal outcome. Am J Obstet Gynecol . 2019 Jul;221(1):65.e1-65.e18.
RCOG Green-top guideline no. 31: the investigation and management of the small-for-gestational-age fetus. Royal College of Obstetricians and Gynaecologists No. 31 2nd Edition | February 2013 | Minor revisions – January 2014
Richardson BS, Bocking AD. Metabolic and circulatory adaptations to chronic hypoxia in the fetus. Comp Biochem Physiol A Mol Integr Physiol 1998; 119: 717– 723.
Roberts LA, Ling HZ, Poon LC, Nicolaides KH, Kametas NA. Maternal hemodynamics, fetal biometry and Doppler indices in pregnancies followed up for suspected fetal growth restriction. Ultrasound Obstet Gynecol 2018; 52: 507– 514.
Rolnik, D.L., Wright, D., Poon, L.C., (2017). Aspirin versus Placebo in Pregnancies at High Risk for Preterm Preeclampsia. N Engl J Med. 17. 377(7), 613-622
Salomon LJ, Alfirevic Z, Da Silva Costa F, Deter RL, Figueras F, Ghi T, Glanc P, Khalil A, Lee W, Napolitano R, Papageorghiou A, Sotiriadis A, Stirnemann J, Toi A, Yeo G. ISUOG Practice Guidelines: ultrasound assessment of fetal biometry and growth. Ultrasound Obstet Gynecol 2019; 53: 715– 723.
Satinder Kaur, Jason L Picconi, Rati Chadha, Michael Kruger, Giancarlo Mari. Biophysical profile in the treatment of intrauterine growth-restricted fetuses who weigh <1000 g. Obstet Gynecol . 2008 Sep;199(3):264.e1-4
Savchev S., Figueras F., Sanz-Cortes M, Cruz-Lemini M., Triunfo S., Botet F., Gratacos E. Evaluation of an Optimal Gestational Age Cut-Off for the Definition of Early- and Late-Onset Fetal Growth Restriction. Fetal Diagn Ther 2014;36:99-105
Severi FM, Rizzo G, Bocchi C, et al. Intrauterine growth retardation and fetal cardiac function. Fetal Diagn Ther. 2000 Jan-Feb. 15(1):8-19.
Severi FM, Rizzo G, Bocchi C, et al. Intrauterine growth retardation and fetal cardiac function. Fetal Diagn Ther. 2000 Jan-Feb. 15(1):8-19.
SOGC - Lausman, A., McCarthy, F.P., Walker, M. et al., (2012). Screening, diagnosis, and management of intrauterine growth restriction. J Obstet Gynaecol Can. 34(1), 17-28.
Ting JY, Kingdom JC, Shah PS. Antenatal glucocorticoids, magnesium sulfate, and mode of birth in preterm fetal small for gestational age. Am J Obstet Gynecol 2018; 218: S818– 828.
Unterscheider J, Sean Daly, Michael Patrick Geary, Mairead Mary Kennelly, Fionnuala Mary McAuliffe, Keelin O'Donoghue, Alyson Hunter, John Joseph Morrison, Gerard Burke, Patrick Dicker, Elizabeth Catherine Tully, Fergal Desmond Malone. Optimizing the definition of intrauterine growth restriction: the multicenter prospective PORTO Study. Am J Obstet Gynecol . 2013 Apr;208(4):290.e1-6.
Valensise H, Farsetti D, Pometti F, Vasapollo B, Novelli GP, Lees C. The cardiac-fetal-placental unit: fetal umbilical vein flow rate is linked to the maternal cardiac profile in fetal growth restriction. Am J Obstet Gynecol:August 06, 2022
Veille JC, Kanaan C. Duplex Doppler ultrasonographic evaluation of the fetal renal artery in normal and abnormal fetuses. Am J Obstet Gynecol . 1989 Dec;161(6 Pt 1):1502-7
Vollgraff Heidweiller-Schreurs CA, De Boer MA, Heymans MW, Schoonmade LJ, Bossuyt PMM, Mol BWJ, De Groot CJM, Bax CJ. Prognostic accuracy of cerebroplacental ratio and middle cerebral artery Doppler for adverse perinatal outcome: systematic review and meta-analysis. Ultrasound Obstet Gynecol . 2018 Mar;51(3):313-322.
Walter A, Elina Calite , Christoph Berg , Ulrich Gembruch, Andreas Müller, Annegret Geipel. Prenatal diagnosis of fetal growth restriction with polyhydramnios, etiology and impact on postnatal outcome. Sci Rep . 2022 Jan 10;12(1):415.
Wei S.Q., Bilodeau-Bertrand M., Liu S., Auger N. The impact of COVID-19 on pregnancy outcomes: a systematic review and meta-analysis. CMAJ. 2021;193:E540–E548.
Zeisler H, Llurba E, Chantraine F, Vatish M, Staff AC, Sennström M, Olovsson M, Brennecke SP, Stepan H, Allegranza D, Dilba P, Schoedl M, Hund M, Verlohren S. Predictive Value of the sFlt-1:PlGF Ratio in Women with Suspected Preeclampsia. N Engl J Med 2016; 374: 13– 22.
Zhong Y, Zhu F, Ding Y. Serum screening in first trimester to predict pre-eclampsia, small for gestational age and preterm delivery: systematic review and meta-analysis. BMC Pregnancy Childbirth 2015; 15: 191.
Zhu MY, Milligan N, Keating S, Windrim R, Keunen J, Thakur V, Ohman A, Portnoy S, Sled JG, Kelly E, Yoo SJ, Gross-Wortmann L, Jaeggi E, Macgowan CK, Kingdom JC, Seed M. The hemodynamics of late-onset intrauterine growth restriction by MRI. Am J Obstet Gynecol 2016; 214: 367.e1– 17.