Anencefalia

Anencefalia


redatto da P.Parisella

L'anencefalia è un difetto di chiusura del tubo neurale caratterizzata dall'assenza di sviluppo delle ossa della volta cranica con conseguente distruzione degli emisferi cerebrali.
Nel I trimestre il processo distruttivo dell'encefalo non è ancora evidente per cui in questo periodo si osserva solo la mancata ossificazione delle ossa della volta cranica mentre gli emisferi cerebrali appaiono normali: si parla di acrania-exencefalia.
Alla fine del I trimestre il contatto dell'encefalo col liquido amniotico determina la distruzione del tessuto cerebrale con trasformazione dell'exencefalia in anencefalia.
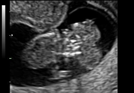
La diagnosi ecografica è relativamente semplice. A 11-12 settimane la volta cranica è assente mentre gli emisferi cerebrali sono ancora riconoscibili e circondati da una sottile membrana a diretto contatto con il liquido amniotico ( acrania-exencefalia ). In sezione coronale l'estremo cefalico assume un aspetto "a mickey mouse"determinato dalla visualizzazione degli emisferi cerebrali come due strutture semicircolari al disopra delle orbite.
   
                                            
                                               
                                            

Dopo la 12a settimana per il diretto contatto col liquido amniotico ed i traumi determinati dal contatto con la parete uterina l'encefalo si trasforma in una massa di tessuto molle aderente alla base del cranio determinandosi il quadro dell'anencefalia caratterizzato dall'assenza della volta cranica e da tessuto cerebrale scarsamente rappresentato. 


                                             


In sezione coronale, per la presenza di macroftalmia, l'estremo cefalico assume il tipico aspetto "a rana".

                                             

L'anencefalia ha una incidenza di circa 1/1000 alla nascita ma è in netta diminuzione grazie alla diagnosi prenatale. Il rischio sindromico e quello di aneuploidia sono bassi. Possono essere presenti altre anomalie: difetti spinali, labiopalatoschisi, onfalocele, cardiopatie, displasie scheletriche.

                                                   
  
Bibliografia

Stevenson RE, Hall JG. Human Malformations and Related Anomalies. Oxford University Press. 2006: 715-745
Paladini D., Volpe P. Anomalie Congenite Fetali. Diagnosi Differenziale ed Indicatori Ecografici di Prognosi. E.L.I. Medica. 2:65-71. 2010