Endometriosi
Endometriosi
redatto da Dr. P.Parisella
L'endometriosi è una patologia benigna caratterizzata dalla presenza di tessuto endometriale funzionale al di fuori della cavità uterina. Il tessuto endometriale ectopico (ghiandole e stroma) risponde agli stimoli ormonali alla stessa maniera di quello eutopico, per cui con la stessa cadenza mensile del flusso mestruale si hanno:
- sanguinamento interno anche a livello dei foci ectopici con conseguente formazione di cisti endometriosiche e noduli endometriosici;
- infiammazione cronica che provoca formazione di aderenze e sintomatologia dolorosa.
Dal punto di vista anatomo-topografico possiamo distinguere l'endometriosi in:
- endometriosi ovarica: si presenta sotto forma di cisti ovariche denominate endometriomi;
- endometriosi profonda o infiltrante (Deep Infiltrating Endometriosis "DIE"): presenza di impianti che infiltrano i tessuti oltre i 5 mm. dalla superficie del peritoneo; questi possono interessare sia il compartimento anteriore (vescica e spazio vescico-uterino, porzione anteriore degli ureteri, legamenti rotondi, canale di Nuck) che quello posteriore (torus uterino, legamenti utero-sacrali, cavo del douglas, setto retto vaginale, superficie sierosa posteriore uterina, parete anteriore del retto, sigma, fornice vaginale posteriore, parete posteriore della vagina, ureteri);
- endometriosi della parete addominale;
- endometriosi superficiale: impianti peritoneali superficiali non infiltranti visibili esclusivamente alla laparoscopia (LPS);
- adenomiosi: presenza di tessuto endometriale (ghiandole e stroma) nel contesto del miometrio, in forma nodulare o diffusa.
Endometriosi Ovarica
E' la localizzazione più frequente della patologia endometriosica rappresentando circa il 65% dei casi; gli aspetti ecografici più comuni delle cisti endometriosiche ovariche o endometriomi sono:
- cisti uniloculare o multiloculare con un massimo di 4 concamerazioni;
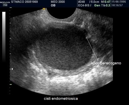
- contenuto "ground glass" ("a vetro smerigliato") legato all'accumulo di cellule ematiche che sfaldano dalla parete e di emosiderina;
- presenza di foci iperecogeni di parete;
- parete esterna della cisti spessa a superficie regolare;
- modesta vascolarizzazione di parete.
In un 35% dei casi gli aspetti degli endometriomi sono meno tipici:
- presenza di sottili setti intracistici che danno origine a cisti multiloculari;
- contenuto disomogeneo per la presenza di aree a differente ecogenicità, iperecogene o ipoecogene, legate ad un addensamento del contenuto cistico (sludge) o a coaguli;
- presenza di irregolarità di parete.
In questi casi sono di aiuto per una corretta diagnosi:
- il power doppler che consente di valutare la presenza di scarsa vascolarizzazione di parete e la assente vascolarizzazione delle aree di addensamento e delle irregolarità di parete;
- esercitando una lieve pressione con la sonda TV è possibile ricercare i movimenti delle strutture endocistiche (sludge e coaguli).
Un elemento distintivo degli endometriomi è la formazione di aderenze per cui spesso risultano fissi e dolenti alla pressione esercitata dalla sonda endovaginale. Tipicamente l'ovaio risulta ipomobile e la sonda endocavitaria non scivola lungo le pareti delle strutture contigue ("sliding sign"). Un altro segno della presenza di fenomeni aderenziali è la posizione inusuale, fissa dell'ovaio, ad esempio nel Douglas; a volte, in caso di bilateralità delle lesioni, gli endometriomi aderiscono l'un l'altro dietro l'utero "kissing ovaries".
Non da trascurare la possibilità della presenza di endometriosi nelle pazienti in post-menopausa: in questo gruppo di pazienti è più frequente la formazione di lesioni ad aspetto atipico (cisti multiloculari ad ecogenicità mista). A causa di questi aspetti atipici l'endometrioma in post-menopausa può mimare una neoplasia maligna o borderline (Guerriero S. et al. 2016).
La diagnosi differenziale deve essere posta nei confronti di:
- tumori ovarici invasivi o borderline: questi possono avere un contenuto simile agli endometriomi ma sono frequentemente masse solide o multiloculari solide con papille ed aree solide vascolarizzate al Doppler;
- cistoadenomi mucinosi: possono avere un contenuto simile agli endometriomi ma sono spesso multloculari con setti sottili (< 5 mm.) e non possiedono i tipici spots iperecogeni di parete;
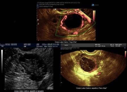
- cisti luteiniche: la diagnosi differenziale si basa sulla storia clinica della paziente con endometriosi (dismenorrea, infertilità) e sui differenti aspetti ecografici delle cisti luteiniche caratterizzate da una ricca vascolarizzazione di parete ("ring of fire") e da un contenuto endocistico "a spugna" o "a favo d'api" che si modifica nel giro di alcuni giorni.
- cisti dermoidi: sono in genere uniloculari, a contenuto disomogeneo, con aree ecogene dotate di cono d'ombra posteriore non vascolarizzate, non sono presenti i foci iperecogeni di parete a differenza degli endometriomi;
- cisti aderenziali: hanno una morfologia irregolare, bizzarra; a volte nel loro interno sono visibili echi che alla pressione della sonda fluttuano nel liquido anecogeno ("flapping sail sign"); altre volte le ovaie possono essere incluse nella pseudocisti con presenza di setti (aderenze) che originano dalla superficie e si distribuiscono a raggiera conferendo un aspetto di "ragno nella ragnatela" ("spider-in-a-web").
- piosalpingi: sono caratterizzate dalla presenza di pus nel lume della salpinge con aspetti ecografici del contenuto molto simile agli endometriomi, hanno però una forma allungata, adiacenti ad un ovaio con normale ecostruttura, con presenza di setti incompleti che in scansione trasversa danno il caratteristico "segno della ruota dentata" ("cog-wheel sign").
Un discorso a parte merita il rischio di evoluzione neoplastica delle cisti endometriosiche, evenienza la cui prevalenza è stimata tra 0,3-0,8% delle cisti; inoltre gli endometriomi ad aspetto atipico rappresenterebbero delle vere e proprie condizioni preneoplastiche. Tuttavia il rischio di evoluzione neoplastica delle cisti endometriosiche è ancora oggetto di dibattito e di ricerca e compito dell'ecografia è cogliere quei segni utili nella diagnosi differenziale tra endometrioma e cisti neoplastiche. I criteri ecografici sono gli stessi utilizzati nel discriminare le cisti ovariche benigne da quelle maligne:
- presenza di tessuto solido nella cisti con intensi fenomeni di vascolarizzazione al power Doppler;
- presenza di un numero di papille superiore a 3;
- il contenuto della cisti endometriosica cancerizzata è disomogeneo e la parete interna è irregolare;
- color score positivo;
- presenza di ascite.
Una ulteriore condizione è la decidualizzazione di alcuni endometriomi in corso di gravidanza, trasformazione questa indotta dal progesterone. Le caratteristiche ecografiche sono rappresentate dalla presenza di papille con profilo esterno liscio e regolare con intenso flusso al power Doppler e dall'aumento di volume dell'endometrioma; dopo la 25a settimana si assiste ad una riduzione di numero e di dimensioni delle papille oltre che del volume della cisti.
In presenza di un endometrioma, oltre che accertare la presenza di aderenze è importante anche la ricerca di impianti profondi e di adenomiosi per accertare la eventuale estensione della patologia in tutta la pelvi ai fini di un adeguato management della paziente.
Endometriosi Profonda o Deep Infiltrating Endometriosis (DIE)
In una percentuale variabile dal 9% al 23% delle pazienti con endometriosi ovarica si ha la presenza di almeno un nodulo di endometriosi profonda.
Negli ultimi anni l'ecografia, in modo particolare l'ecografia pelvica transvaginale (TVS), si è dimostrato l'esame di diagnostica per immagini più accurato nella diagnostica delle lesioni endometriosiche.
I distretti anatomici più frequentemente colpiti ed individuati alla TVS sono nell'ordine:
- interessamento del compartimento posteriore
- cavo del Douglas e parete anteriore del retto
- legamenti utero sacrali e torus uterino
- setto retto-vaginale e vagina
- sigma
- interessamento del compartimento anteriore
- plica vescico-uterina
- ureteri
Gli impianti profondi, sia interessanti il compartimento posteriore che anteriore, hanno caratteristiche ecografiche comuni tra loro ma diverse dagli endometriomi.
Si presentano come noduli ipoecogeni con contorni iperecogeni irregolari e sfumati, fissi e dolenti alla pressione con la sonda vaginale, scarsamente vascolarizzati al power Doppler; inoltre questi noduli provocano delle tipiche distorsioni delle strutture anatomiche coinvolte che danno origine a patterns ecografici caratteristici delle diverse localizzazioni.
La localizzazione intestinale è frequentemente appannaggio del retto e della giunzione rettosigmoidea. E' di fondamentale importanza riconoscere la struttura normale della parete intestinale: la tunica muscolare ha un aspetto ipoecogeno mentre sottomucosa e mucosa hanno aspetto iperecogeno. L'interessamento intestinale è caratterizzato dalla presenza di un nodulo ipoecogeno posteriormente all'utero e adeso alla parete anteriore dell'intestino; in genere è interessata la porzione muscolare della parete intestinale; se il nodulo interessa anche la sottomucosa e la mucosa si ha una interruzione della rima iperecogena che le contraddistingue ecograficamente, anche se l'interessamento della mucosa è spesso impossibile da diagnosticare. Il decorso del retto e del sigma può essere distorto e la retrazione fibrosa delle anse intestinali verso il nodulo posto in zona retrocervicale crea multiple pliche che danno origine ad un segno ecografico caratteristico denominato "cappello da indiano" "indian headdress sign". Al power Doppler vi è una scarsa vascolarizzazione sia interna che periferica del nodulo. La maggior parte di questi noduli obliterano il cavo del Douglas per cui è possibile valutare, mediante la pressione con la sonda endovaginale, lo scivolamento tra retto e parete posteriore dell'utero "sliding sign". Un'altro segno è quello di evocare dolore mediante la pressione con la sonda endovaginale sulle strutture da studiare "tenderness-guided ultrasonography".

L'interessamento dei legamenti utero-sacrali e del torus uterino è caratterizzato dalla presenza di noduli ipoecogeni a margini stellati, profili esterni irregolari, scarsamente vascolarizzati al power Doppler e adiacenti alla cervice uterina; in genere l'interessamento dei legamenti utero-sacrali è rappresentato ecograficamente da un ispessimento dei legamenti piuttosto che dalla chiara presenza di un nodulo. La diagnosi è facilitata confrontando simultaneamente i due lati al fine di individuare anche la presenza di un nodulo unilaterale; in questi casi è di aiuto l'asimmetria e l'irregolarità dei profili dei legamenti piuttosto che lo spessore del nodulo. Importante valutare la mobilità ed il dolore evocato dai movimenti e dalla pressione con la sonda endovaginale.
I noduli interessanti la parete vaginale e il setto retto-vaginale si presentano come noduli ipoecogeni, irregolari, accompagnati ad ispessimento della parete vaginale.
I noduli endometriosici della vescica si presentano come formazioni ipo o isoecogene localizzate più frequentemente nello spazio vescico-uterino a livello della base vescicale e meno frequentemente interessano la cupola; a volte si manifestano come noduli ad ecostruttura disomogenea con piccole aree anecogene ("bubble-like") di forma sferica o a virgola che improntano il profilo della plica vescico-uterina. E' importante valutare la presenza di impianti a livello del trigono vescicale e l'eventuale interessamento dei meati ureterali che può essere studiato osservando con il color Doppler il getto di urina in vescica. Spesso i noduli vescicali obliterano lo spazio vescico-uterino per cui è utile ricercare lo scorrimento tra parete uterina anteriore e superficie vescicale.

L'eventuale interessamento degli ureteri deve essere sempre ricercato, sia nell'endometriosi del compartimento anteriore (trigono vescicale, meati ureterali), che nei casi conseguenti ad impianti profondi del comparto posteriore che, estendendosi lateralmente, possono coinvolgere gli ureteri; meno frequentemente l'endometriosi può interessare primitivamente l'uretere estendendosi nel parametrio. La stenosi ureterale che ne deriva può portare ad una dilatazione dell'uretere a monte della stenosi ed a dilatazione della pelvi renale (idroureteronefrosi): è quindi importante quando ci si appresta a studiare una paziente con sospetto di endometriosi andare a studiare, con approccio addominale, la morfologia dei reni e delle pelvi renali.
Endometriosi della parete addominale
L'endometriosi della parete addominale è caratterizzata dalla presenza di tessuto endometriale tra strato adiposo sottocutaneo e lo strato dei muscoli addominali. L'incidenza varia dallo 0,03% a 1% in pazienti sottoposte a taglio cesareo.
E' importante, per una corretta diagnosi, utilizzare una sonda lineare ad alta frequenza e riconoscere i vari strati della parete addominale che dall'esterno all'interno sono: cute, tessuto adiposo ad aspetto iperecogeno, fascia addominale che appare come una sottile linea iperecogena, strato muscolare che appare ipoecogeno, grasso peritoneale che appare iperecogeno, peritoneo che appare come una sottile linea iperecogena.
Gli impianti della parete addominale possono avere le seguenti caratteristiche:
- noduli ovalari, rotondi o a morfologia stellata;
- nel 100% dei casi i margini sono irregolari e mal definiti;
- ecostruttura ipoecogena o disomogenea per la presenza di una punteggiatura o di sottili linee iperecogene;
- scarsa vascolarizzazione;
- anello iperecogeno periferico;
- dolenti alla pressione.
E' importante caratterizzarne oltre il numero e le dimensioni anche la profondità di infiltrazione della parete addominale.
Endometriosi Superficiale
Gli impianti endometriosici peritoneali superficiali sono identificabili alla laparoscopia in circa il 10-15% di donne in età fertile. La prevalenza aumenta in pazienti affette da endometriosi ovarica e raggiunge circa il 100% nelle pazienti portatrici di endometriomi di diametro medio >3 cm.
Non sono visibili all'ecografia anche se un operatore esperto, considerato che si presentano come aree aderenziali, può sospettarne la presenza valutando alcuni segni ecografici:
- zone dolenti alla pressione con la sonda endovaginale;
- presenza di raccolte fluide nelle pelvi o di pseudocisti da inclusione peritoneale;
- posizione anomala delle ovaie, tipo una posizione retrouterina fissa;
- ridotta mobilità delle ovaie alla pressione con la sonda endovaginale (sliding sign).
Bibliografia
Abrao MS, Goncalves MO, Dias JA Jr, et al.Comparison between clinical examination, transvaginal sonography and magnetic resonance imaging for the diagnosis of deep endometriosis. Hum Reprod 2007;22:3092-3097.
Alcázar JL, Iturra A, Sedda F. et al. Three-dimensional volume off-line analysis as compared to real-time ultrasound for assessing adnexal masses. Eur J Obstet Gynecol Reprod Biol 2012;161:92-95.
Bazot M, Thomassin I, Hourani R, Cortez A, Darai E. Diagnostic accuracy of transvaginal sonography for deep pelvic endometriosis. Ultrasound Obstet Gynecol 2004a;24:180-185.
Bazot M, Darai E, Hourani R, et al. Deep pelvic endometriosis: MR imaging for diagnosis and prediction of extension of disease. Radiology 2004b;232:379-389.
Bernardi LA, Pavone ME. Endometriosis: an update on management. Womens Health (Lond Engl) 2013;9:233-250.
Bulun SE. Endometriosis. N Engl J Med 2009;360:268-279.
Chapron C, Fauconnier A, Dubuisson JB, et al. Does deep endometriosis infiltrating the uterosacral ligaments present an asymetric lateral distribution? Br J Obstet Gynaecol 2001a;108:1021-1024.
Chapron C, Liaras E, Fayet P, et al. Magnetic resonance imaging and endometriosis: deeply infiltrating endometriosis does not originate from the rectovaginal septum. Gynecol Obstet Invest 2002;53:204-208.
Chapron C, Fauconnier A, Dubuisson JB, et al. Deeply infiltrating endometriosis: relation between severity of dysmenorrhea and extent of the disease. Hum Reprod 2003a;18:760-766.
Chapron C, Fauconnier A, Vieira M, et al. Anatomic distribution of deeply infiltrating endometriosis: surgical implications and proposition for a classification. Hum Reprod 2003b;18:157-161.
Chapron C, Chopin N, Borghese B, Foulot H. Deeply infiltrating endometriosis originates from the retrocervical area. J Am Assoc Gynecol Laparosc 2004;11:440-441.
Chapron C, Chopin N, Borghese B, et al. Deeply infiltrating endometriosis: pathogenetic implications of the anatomical distribution.Hum Reprod. 2006 Jul;21(7):1839-45.
de Ziegler D, Borghese B, Chapron C. Endometriosis and infertility: pathophysiology and management. Lancet 2010;376:730-873.
Downey DB, Fenster A, Williams JC. Clinical utility of three-dimensional US. Radiographics 2000;20:559-571.
Egekvist AG, Forman A, Seyer-Hansen M. Three-dimensional ultrasound of deep infiltrating endometriosis involving the rectosigmoid colon. Acta Obstet Gynecol Scand 2011;90:122-125.
Fratelli N, Scioscia M, Bassi E, Musola M, Minelli L, Trivella G. Transvaginal sonography for preoperative assessment of deep endometriosis. J Clin Ultrasound 2013;41:69-75.
Giudice LC. Clinical practice. Endometriosis. N Engl J Med 2010;362:2389-2398.
Grasso RF, Di Giacomo V, Sedati P, et al. Diagnosis of deep infiltrating endometriosis: accuracy of magnetic resonance imaging and transvaginal 3D ultrasonography. Abdom Imaging 2010;35:716-725.
Guerriero S, Ajossa S, Gerada M, D'Aquila M, Piras B, Melis GB. Tenderness-guided transvaginal ultrasonography: a new method for the detection of deep endometriosis in patients with chronic pelvic pain. Fertil Steril 2007;88:1293-1297.
Guerriero S, Ajossa S, Gerada M, Virgilio B, Angioni S, Melis GB. Diagnostic value of transvaginal tenderness-guided ultrasonography for the prediction of location of deep endometriosis. Hum Reprod 2008;23:2452-2457.
Guerriero S, Alcázar JL, Ajossa S, Pilloni M, Melis GB. Three-dimensional sonographic characteristics of deep endometriosis. J Ultrasound Med 2009;28:1061-1066.
Guerriero S, Saba L, Ajossa S, et al.Three-dimensional ultrasonography in the diagnosis of deep endometriosis.Hum Reprod. 2014 Jun;29(6):1189-98.
Guerriero S, Spiga S, Ajossa S, et al. Role of imaging in the management of endometriosis. Minerva Ginecol 2013a;65:143-166.
Guerriero S, Saba L, Ajossa S, et al. Assessing the reproducibility of the IOTA simple ultrasound rules for classifying adnexal masses as benign or malignant using stored 3D volumes. Eur J Obstet Gynecol Reprod Biol 2013b;171:157-160.
Guerriero S, Pilloni M, Alcazar JL, et al. Tissue characterization using mean gray value analysis in deep infiltrating endometriosis. Ultrasound Obstet Gynecol 2013c;41:459-464.
Guerriero S, Van Calster B, Somigliana E, Ajossa S, Froyman W, De Cock B, Coosemans A,
Fischerová D, Van Holsbeke C, Alcazar JL, Testa AC, Valentin L, Bourne T, Timmerman D. Agerelated
differences in the sonographic characteristics of endometriomas. Hum Reprod.
2016;31:1723-31
Hudelist G, Ballard K, English J, Wright J, Banerjee S, Mastoroudes H, Thomas A, Singer CF, Keckstein J. Transvaginal sonography vs. clinical examination in the preoperative diagnosis of deep infiltrating endometriosis. Ultrasound Obstet Gynecol 2011a;37:480-487.
Hudelist G, English J, Thomas AE, Tinelli A, Singer CF, Keckstein J. Diagnostic accuracy of transvaginal ultrasound for non-invasive diagnosis of bowel endometriosis: systematic review and meta-analysis. Ultrasound Obstet Gynecol 2011b;37:257-263.
Kataoka ML, Togashi K, Yamaoka T, et al. Posterior cul-de-sac obliteration associated with endometriosis: MR imaging evaluation. Radiology 2005;234:815-823.
Kinkel K, Chapron C, Balleyguier C, et al. Magnetic resonance imaging characteristics of deep endometriosis. Hum Reprod 1999;14:1080-1086.
León M, Vaccaro H, Alcázar JL, et al. Extended transvaginal sonography in deep infiltrating endo-metriosis: use of bowel preparation and an acoustic window with intravaginal gel: preliminary results. J Ultrasound Med 2014;33:315-321.
Mascilini F, Moruzzi C, Giansiracusa C, Guastafierro F, Savelli L, et al. Imaging in gynecological disease. 10: Clinical and ultrasound characteristics of decidualized endometriomas surgically removed during pregnancy.Ultrasound Obstet Gynecol. 2014 Sep;44(3):354-60.
Pascual MA, Guerriero S, Hereter L, et al. Diagnosis of endometriosis of the rectovaginal septum using introital three-dimensional ultrasonography. Fertil Steril 2010;94:2761-2765.
Pascual MA, Guerriero S, Hereter L, et al. Three-dimensional sonography for diagnosis of rectovaginal septum endometriosis: interobserver agreement. J Ultrasound Med 2013;32:931-935.
Piketty M, Chopin N, Dousset B, et al. Preoperative work-up for patients with deeply infiltrating endometriosis: transvaginal ultrasonography must definitely be the first-line imaging examination. Hum Reprod 2009;24:602-607.
Saba L, Guerriero S, Sulis R, et al. Learning curve in the detection of ovarian and deep endometriosis by using Magnetic Resonance: comparison with surgical results. Eur J Radiol 2011;79:237-244.
Saba L, Guerriero S, Sulcis R, et al. MRI and tenderness guided transvaginal ultrasonography in the diagnosis of recto-sigmoid endometriosis. J Magn Reson Imaging 2012;35:352-360.
Saccardi C, Cosmi E, Borghero A, et al. Comparison between transvaginal sonography, saline contrast sonovaginography and magnetic resonance imaging in the diagnosis of posterior deep infiltrating endometriosis. Ultrasound Obstet Gynecol 2012;40:464-469.
Savelli L.Transvaginal sonography for the assessment of ovarian and pelvic endometriosis: how deep is our understanding?Ultrasound Obstet Gynecol. 2009 May;33(5):497-501.
Savelli L, Manuzzi L, Coe M, et al.Comparison of transvaginal sonography and double-contrast barium enema for diagnosing deep infiltrating endometriosis of the posterior compartment.Ultrasound Obstet Gynecol. 2011 Oct;38(4):466-71.
Savelli L, Manuzzi L, Di Donato N, et al.Endometriosis of the abdominal wall: ultrasonographic and Doppler characteristics.Ultrasound Obstet Gynecol. 2012; 39:336-340
Savelli L, Manuzzi L, Pollastri P, et al.Diagnostic accuracy and potential limitations of transvaginal sonography for bladder endometriosis.Ultrasound Obstet Gynecol. 2009 Nov;34(5):595-600.
Seracchioli R, Mabrouk M, Guerrini M, Manuzzi L, Savelli L, Frascà C, Venturoli S.Dyschezia and posterior deep infiltrating endometriosis: analysis of 360 cases.J Minim Invasive Gynecol. 2008 Nov-Dec;15(6):695-9.
Testa AC, Timmerman D, Van Holsbeke C, et al.Ovarian cancer arising in endometrioid cysts: ultrasound findings.Ultrasound Obstet Gynecol. 2011 Jul;38(1):99-106.
Valentin L. Use of morphology to characterize and manage common adnexal masses. Best Pract Res Clin Obstet Gynaecol 2004; 18: 7189.
Valentin L, Ameye L, Savelli L, et al.Unilocular adnexal cysts with papillary projections but no other solid components: is there a diagnostic method that can classify them reliably as benign or malignant before surgery?Ultrasound Obstet Gynecol. 2013 May;41(5):570-81.
Valentin L, Ameye L, Jurkovic D, et al. Which extrauterine pelvic masses are difficult to correctly classify as benign or malignant on the basis of ultrasound findings and is there a way of making a correct diagnosis? Ultrasound Obstet Gynecol 2006; 27: 438444.
Valentin L, Ameye L, Savelli L, et al. Adnexal masses difficult to classify as benign or malignant using subjective assessment of gray-scale and Doppler ultrasound findings: logistic regression models do not help. Ultrasound Obstet Gynecol 2011; 38: 456465.
Van Holsbeke C, Van Calster B, Guerriero S, Savelli L, Paladini D,et al.Endometriomas: their ultrasound characteristics.Ultrasound Obstet Gynecol. 2010 Jun;35(6):730-40.