COFS – Sindrome Cerebro-Oculo-Facio-Scheletrica OMIM 214150

COFS – Sindrome Cerebro-Oculo-Facio-Scheletrica       OMIM 214150


La COFS è una malattia neurodegenerativa, a trasmissione autosomica recessiva, caratterizzata da un disordine neurologico che porta rapidamente ed in modo progressivo all'atrofia cerebrale.                                                          

La Diagnosi Prenatale, non sempre possibile, si basa su:

1) assenza di movimenti attivi fetali;
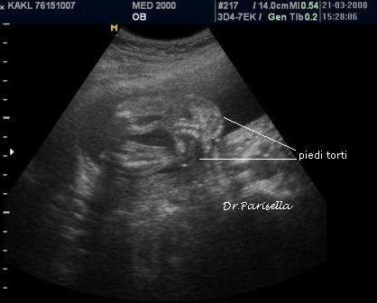
2) artrogriposi caratterizzata principalmente da contratture in flessione;
3) dismorfismi del volto come impianto basso delle orecchie, fronte sfuggente, microcefalia, micrognazia, microftalmia;
4) difetto di crescita;
5) anomalie del SNC come agenesia parziale del corpo calloso, ventricolomegalia.

 

Bibliografia
Del Bigio, M. R., Greenberg, C. R., Rorke, L. B., Schnur, R., McDonald-McGinn, D. M., Zackai, E. H. Neuropathological findings in eight children with cerebro-oculo-facio-skeletal (COFS) syndrome. J. Neuropath. Exp. Neurol. 56: 1147-1157, 1997.
Gershoni-Baruch, R., Ludatscher, R. M., Lichtig, C., Sujov, P., Machoul, I. Cerebro-oculo-facio-skeletal syndrome: further delineation. Am. J. Med. Genet. 41: 74-77, 1991.
Grizzard, W. S., O'Donnell, J. J., Carey, J. C. The cerebro-oculo-facio-skeletal syndrome. Am. J. Ophthal. 89: 293-298, 1980.
Preus, M., Fraser, F. C. The cerebro-oculo-facio-skeletal syndrome. Clin. Genet. 5: 294-297, 1974.
Preus, M., Kaplan, P., Kirkham, T. H. Renal anomalies and oligohydramnios in the cerebro-oculo-facio-skeletal syndrome. Am. J. Dis. Child. 131: 62-64, 1977.
Silengo, M. C., Davi, G., Bianco, R., Biagioli, M., Franceschini, P., Cavallo, M., Bussi, G. The NEU-COFS (cerebro-oculo-facio-skeletal) syndrome: report of a case. Clin. Genet. 25: 201-204, 1984.
Surana, R. B., Fraga, J. R., Sinkford, S. M. The cerebro-oculo-facio-skeletal syndrome. Clin. Genet. 13: 486-488, 1978.
Temtamy, S. A., Meguid, N. A., Mahmoud, A., Afifi, H. H., Gerzawy, A., Zaki, M. S. COFS syndrome with familial 1;16 translocation. Clin. Genet. 50: 240-243, 1996.