Sindrome di Alpers o Polidistrofia Infantile Progressiva OMIM 203700

Sindrome di Alpers o Polidistrofia Infantile Progressiva     OMIM 203700

E' una rara malattia neurologica progressiva con spasticità, mioclono e demenza, facente parte del gruppo delle FADS

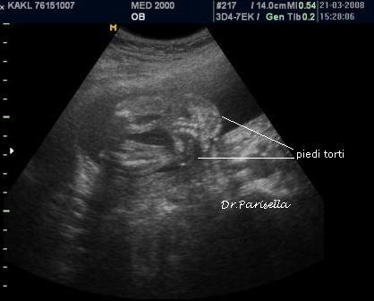
La diagnosi prenatale si basa su:
1) assenza di movimenti attivi fetali;
2) contratture articolari;
3) microcefalia grave;
4) IUGR;
5) micrognatia
 


Bibliografia
Alberca-Serrano, R., Fabiani, F., Deneve, V., Macken, J. Familial spastic diplegia due to anoxic encephalopathy (Alpers). A contribution to the study of vascular fragilities of the nervous system of genetic type. J. Neurol. Sci. 2: 419-433, 1965. 
Frydman, M., Jager-Roman, E., de Vries, L., Stoltenburg-Didinger, G., Nussinovitch, M., Sirota, L. Alpers progressive infantile neuronal poliodystrophy: an acute neonatal form with findings of the fetal akinesia syndrome. Am. J. Med. Genet. 47: 31-36, 1993. 
Gauthier-Villars, M., Landrieu, P., Cormier-Daire, V., Jacquemin, E., Chretien, D., Rotig, A., Rustin, P., Munnich, A., de Lonlay, P. Respiratory chain deficiency in Alpers syndrome. Neuropediatrics 32: 150-152, 2001. 
Harding, B. N. Progressive neuronal degeneration of childhood with liver disease (Alpers-Huttenlocher syndrome): a personal review. J. Child Neurol. 5: 273-287, 1990.
 Danielsen, E. R., Vardag, A., McKiernan, P. J., Gray, G., Naviaux, R. K. POLG mutations in Alpers syndrome. Neurology 65: 1493-1495, 2005.