Malattia di Gaucher tipo II OMIN 230900

Malattia di Gaucher tipo II   OMIM 230900

 

E' una rara malattia genetica dovuta a deficit del gene che codifica per la beta-glucosidasi acida. E’ distinta in tre tipi: nel Tipo 1 il deficit dell'enzima beta-glucosidasi provoca accumulo di glucocerebroside nelle cellule reticoloendoteliali di fegato, milza e midollo; nei Tipi 2 e 3 il deficit dell'enzima è causa dell'interessamento anche del Sistema Nervoso Centrale con manifestazioni neurologiche che nel Tipo 2 provocano una grave compromissione del SNC con exitus precoce.

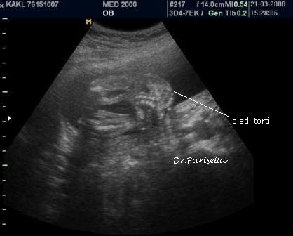
La Diagnosi Prenatale Ecografica si basa su:
1) assenza di movimenti attivi fetali.
2) contratture multiple.
3) Idrope.
 
E’ possibile la diagnosi enzimatica sul liquido amniotico oppure lo studio molecolare delle mutazioni mediante prelievo di villi coriali.
 

Bibliografia

Beutler, E., Kuhl, W.Glucocerebrosidase processing in normal fibroblasts and in fibroblasts from patients with type I, type II, and type III Gaucher disease. Proc. Nat. Acad. Sci. 83: 7472-7474, 1986. 
Owada, M., Sakiyama, T., Kitagawa, T. Neuropathic Gaucher's disease with normal 4-methylumbelliferyl-beta-glucosidase activity in the liver. J. Pediat. Res. 11: 641-646, 1977.
Schneider, E. L., Ellis, W. G., Brady, R. O., McCulloch, J. R., Epstein, C. J. Infantile (type II) Gaucher's disease: in utero diagnosis and fetal pathology. J. Pediat. 81: 1134-1139, 1972. 
Stone, D. L., Tayebi, N., Orvisky, E., Stubblefield, B., Madike, V., Sidransky, E. Glucocerebrosidase gene mutations in patients with type 2 Gaucher disease. Hum. Mutat. 15: 181-188, 2000.