Displasie Mesomeliche

Displasie Mesomeliche

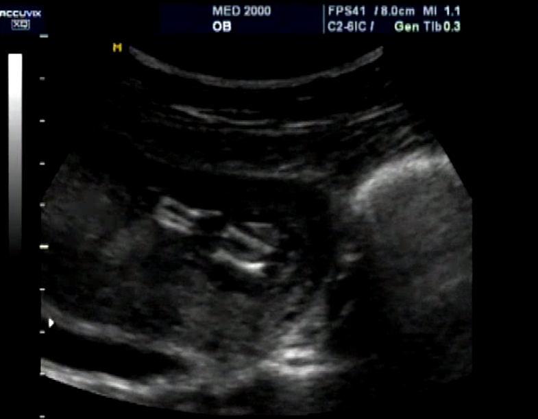
Sono un gruppo di osteocondrodisplasie nelle quali è compromesso il tratto intermedio o mesomelico  degli arti. E' più frequente l'interessamento degli arti superiori rispetto agli arti inferiori; l'interessamento dei raggi   ( radio-ulna ; tibia-perone ) può essere di entrambi o di uno solo dei due.
Vi sono circa 30 forme di displasia mesomelica caratterizzate dalla presenza o meno di altre anomalie associate; le più frequenti sono:
  • Sindrome di Langer o nanismo mesomelico di Langer
  • Sindrome di Nievergelt o nanismo mesomelico di Nievergelt
  • Sindrome di Reinhardt- Pfeiffer o nanismo mesomelico di Reinhardt
  • Sindrome di Robinov o nanismo mesomelico di Robinov
  • Sindrome di Werner o nanismo mesomelico di Werner 
  • Nanismo Micrognato
  • Nanismo mesomelico tipo Lery-De Vos-Timmermans
  • Deformità di Madelung
  • Discondrosteosi o Malattia di Leri-Weill
  • Sindrome di Desbuquois                                                                                       

 
 Sindrome di Langer o Nanismo Mesomelico di Langer    OMIM 249700

Segni principali:
mesomelia 
ipoplasia ulna 
ipoplasia fibula
ipoplasia radio
ipoplasia tibia 
tibia ricurva
radio ricurvo
incurvamento della mano in senso ulnare 

Segni aggiuntivi:
micrognatia

Sindrome di Nievergelt o Nanismo Mesomelico di Nievergelt  OMIM 163400

Segni principali:
mesomelia 
ipoplasia radio 
ipoplasia ulna 
ipoplasia tibia 
ipoplasia fibula 
piede torto 

 Displasia Mesomelica di Reinhardt - Pfeiffer   OMIM 191400

 Segni principali:
mesomelia 
ipoplasia ulna 
ipoplasia fibula 

Sindrome di Robinov o Nanismo mesomelico di Robinow  OMIM 180700

Segni principali:
mesomelia 
ipoplasia radio
ipoplasia ulna
micrognatia
fronte prominente 
ipertelorismo 
acromelia 
ipoplasia genitali

Segni aggiuntivi:
Anomalie vertebrali (scoliosi, emivertebre)
ipoplasia tibia
ipoplasia fibula

Sindrome di Werner - Sindrome ipoplasia della tibia-polidattilia - Nanismo Mesomelico di Werner   OMIM 188770

Segni principali:
ipoplasia tibia 
polidattilia 
pollice trifalangeo

Segni aggiuntivi:                                                                                                                                              
sindattilia 
ispessimento fibula 

 Nanismo Micrognato

 Segni principali:

ipoplasia radio
ipoplasia ulna
ipoplasia tibia
ipoplasia fibula
micrognatia 
ipertelorismo 
glossoptosi 


Nanismo mesomelico tipo Lery-De Vos-Timmermans

Segni principali:

mesomelia bilaterale asimmetrica
ipoplasia tibia
ipoplasia fibula
ipoplasia radio
ipoplasia ulna
mano torta
ginocchio varo
ulna curva
fibula curva

Deformità di Madelung