Al-Awadi/Raas-Rothscild Syndrome - AARRS - Assenza di Ulna e Fibula con assenza o deficit severo degli arti OMIM 276820

Al-Awadi/Raas-Rothschild Syndrome - AARRS 

Assenza di ulna e fibula con assenza o deficit severo degli arti    OMIM 276820

La Sindrome di Al-Awadi/Raas-Rothschild/Schinzel (AARRS) รจ una rara malattia autosomica recessiva caratterizzata da gravi malformazioni degli arti superiori e inferiori con grave ipoplasia della pelvi e genitali anormali.
E' dovuta a mutazione nel gene WNT7A che mappa in 3p25.
E' caratterizzata da deficit di vario grado di tutti e quattro gli arti (assenza di ulna e fibula con assenza o deficit severo degli arti come focomelia, oligodattilia, etc.), con ipoplasia o agenesia delle ossa del bacino (anche ipoplasia o agenesia del sacro), anomalie genitali consistenti in agenesia dell'utero e della vagina, micropene. 
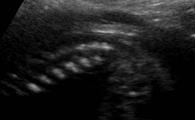
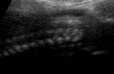
La diagnosi ecografica si basa principalmente sulle anomalie degli arti  e sull'agenesia del sacro.



Bibliografia
Al-Awadi, S. A., Teebi, A. S., Farag, T. I., Naguib, K. M., El-Khalifa, M. Y. Profound limb deficiency, thoracic dystrophy, unusual facies, and normal intelligence: a new syndrome. J. Med. Genet. 22: 36-38, 1985.
Woods, C. G., Stricker, S., Seemann, P., et al.: Mutations in WNT7A cause a range of limb malformations, including Fuhrmann syndrome and Al-Awadi/Raas-Rothschild/Schinzel phocomelia syndrome. Am. J. Hum. Genet. 79: 402-408, 2006
Olney, R. S., Hoyme, H. E., Roche, F., Ferguson, K., Hintz, S., Madan, A. Limb/pelvis hypoplasia/aplasia with skull defect (Schinzel phocomelia): distinctive features and prenatal detection. Am. J. Med. Genet. 103: 295-301, 2001.